A. Background
•
Idiopathic VT는 구조적으로 문제 없는 정상 심장에서 발생하는 빈맥이다.
•
ECG의 QRS 형태로 Origin을 예측하고 일반적으로 Right VT 또는 LV VT로 분류된다.
•
환자는 일반적으로 빈맥을 견딜 수 있고, acute cardiac death는 드물다.
•
치료 옵션은 약리 요법 또는 카테터 절제를 포함한다.
•
예후는 우수하다.
•
VT 환자의 10%에서 구조적 심장 질환, 신진 대사/전해질 이상 또는 긴 QT 증후군이 발견되지 않는다
-> 이 부정맥은 특발성 VT로 불려왔다.
B. 분류
•
기타 (miscellaneous)
Type of VT | QRSmorphology/axis | Pharmacoterapy sensitivity |
RVOT VT /
monomorphic extrasystoles | LBBB/ inferior axis | Adenosine, B-blocker
verapamil (or diltiazem) |
LVOT VT | S wave in lead I,
R-wave transition in V1 or V2 | Adenosine, B-blocker,
verapamil (or diltiazem), |
Fascicular VT | RBBB/ left superior axis (exit posterior fascicle); RBBB/right inferior axis (exit anterior fascicle) | Verapamil |
C. Outflow tract ventricular tachycardias (OT-VT)
•
LVOT과 RVOT 주변에 국한되어 발생하는 VT.
•
Idiopathic VT중에서 가장 흔함
•
OT VT중 RVOT가 80~90% 정도로 대다수임
•
30~50세 정도에 호발 (범위 : 6세~80세)
•
LVOT는 남녀 발생률 같음. RVOT는 여자에서 많음.
(1) 메커니즘
•
유출로 심실빈맥은 catecholamine에 의한 delayed afterdepolarization에 의해 이루어진다.
•
이 메카니즘에 의한 tachycardia는 adenosine, BB, CCB로 종료시킬 수 있다.
(2) 유출로의 해부학적 특징
•
RVOT는 LVOT에 비해 좌측 및 앞쪽 방향에 위치
•
pulmonic valve는 aortic valve의 위쪽에 위치
•
RVOT는 muscular infundibulum으로 싸여있다.
•
LVOT는 근육과 섬유(fibrous)로 이루어져 있다.
•
Aortic sinuses of Valsalva의 오른쪽 대부분과 외쪽의 일부분 은 LVOT를 덮고 있고, AV node, His bundle에 가까이 있다.
•
임상적으로 septal RVOT와 자유벽(free wall) RVOT는 전방, 중앙, 후방으로 구분할 수 있다
•
Anteroseptal RVOT는 LV epicardium 근처 interventricular vein 앞쪽에 있다.
•
Posteroseptal RVOT는 RCC 근처에 있으며, RVOT VT는 주로 anteroseptal RVOT에서 발생한다.
•
여러 유출로 심실 빈맥에서, RVOT에서 LVOT쪽으로 발생지가 옮겨갈 수록 V1 Lead에서 R wave의 amplitude가 커진다
C1. 우심실 유출로 빈맥 (RVOT-VT)
•
특발성 심실빈맥의 가장 흔한 호발 장소가 RVOT이다(70%)
•
RVOT는 VT 뿐 아니라 PVC이 호발하는 부위이기도 하며, 따라서 심실성 부정맥이 가장 흔하게 나타나는 부위이다
•
지연 후 탈분극 (delayed afterdepolarization)에 의한 방아쇠 기전(triggered activity)이 중요한 역할을 할 것으로 추정
•
세포내 cAMP의 상승과 연관된 칼슘 통로와 ryanodine 수용체의 활성화 및 세포 내 칼슘의 증가 및 Na/Ca exchanger의 작동 등의 연쇄반응으로 인하여 매개
•
이들 세포 내 매개물질을 억제할 수 있는 adenosine, 칼슘차단제, 베타차단제 등이 빈맥의 억제에 특히 효과적이다.
•
또한 일반적인 항부정맥제 및 베타차단제, 칼슘차단제 등에 두루 반응이 좋은 것이 특징이다.
(1) RVOT 해부학
•
발생학적으로 RVOT는 심장의 나머지 부분(좌, 우 심실)과는 그 기원이 다름
•
connexin의 분포가 적어 세포간 연결이 약하고 전도 속도가 느림
•
수축력이 크지 않은 ‘태생기 유출로’에서 만들어지는 것으로 알려져 있음
•
부정맥 유발성이 큰 이유는 아마도 이러한 발생학적 배경이 다름으로 인하여 이 부위의 활동전압 형태나 전도 속도, 불응기 등의 전기생리학적 특성이 다른 심장 부위와는 상이함에 기인할 것으로 추정된다.
•
RVOT-VT는 심전도 상 삼첨판륜, 특히 His속 근처의 삼천판륜에서 기원하는 심실빈맥과 유사
•
폐동맥판륜 근처의 조직이 부정맥 유발성이 강한 것처럼 삼천판륜, 승모판륜에서도 부정맥이 호발하는 점은
이들 경계 부위 조직의 일반적인 특성으로 이해된다.
또한 이들 유출로에서 기원하는 심실빈맥과 삼첨판륜/승모판류에서 기원하는 심방빈맥, 심실빈맥이
모두 adenosine에 강한 감수성을 보인다는 점도 이들 부위에서의 부정맥 발생이 아마도
cAMP를 매개로 하는 공통점을 갖고 있을 것을 시사한다
(2) RVOT VT 심전도 특징
•
RVOT VT는 LBBB 유사 형태의 QRS로, 하향축을 나타낸다.
LBBB 형태
•
Precordial transition은 주로 V4 또는 그 뒤에서 이루어지고, V3보다 일찍 나타나지 않음.
•
aVL 과 aVR은 음성이다.
•
Septal origin의 심실빈맥은 QRS 기간이 짧다.
•
pulmonary artery 기원의 RVOT-VT에 대한 심전도 기준은 거의 없다.
: 다만 심전도상 PA origin은 하위 유도(inferior lead)에서 좀더 R파가 크고,
: aVL/aVR에서 q파가 큰 비율을 차지하여,
: V2에서 R/S 비율이 크다.
※ 우심실 유출로 빈맥의 심전도: 우심실 유출로 외에서 발생하는 심실빈맥과의 감별
•
aVL의 극성
◦
일반적인 우심실 유출로 심실빈맥에서 aVL은 음성
◦
삼첨판륜, His속 근처 등에서 발생하는 우심실빈맥은 aVL이 양성
•
V1 의 극성과 이행대 : LVOT/RVOT-VT 구별에 도움
◦
RVOT 자유벽이 V1유도에 가장 가까우므로 RVOT 자유벽 VT에서 V1 이 가장 큰 음성
◦
RVOT 자유벽 빈맥의 QRS 이행대도 V4 이후에 늦게 나타난다.
◦
RVOT 중격 부위의 빈맥은 V1이 작아지고 이행대도 V3-4로 빨라지며, His속 근처(삼첨판륜 중격) 우심실, 우측 관동맥동(right coronary sinus cusp) 등으로 갈수록 이행대가 더 빨라져 V2-3에서 나타난다
•
Lead I
◦
우심실빈맥 모두에서 양성으로 나타나나
◦
일부 RVOT VT 중 폐동맥판 근처 좌측에 위치한 심실빈맥에서만 음성으로 나타난다.
•
Lead II
◦
우심실 유출로 빈맥에서 양성으로 높게 나타나고,
◦
His속 근처, 삼첨판륜 상부에서 기원하는 빈맥에서는 양성이지만
삼첨판륜 하방, 후중격에서는 음성으로 나타난다.
•
Lead I-III의 notching
◦
우심실 유출로 자유벽, 삼첨판륜 자유벽 빈맥에서 나타나고, 중격에서 기원하는 심실빈맥에서는 드물다.
(3) RVOT-VT의 임상상
•
젊은 연령에서 흔하여 20-40대에서 호발
•
특징적인 심전도 형태(흉부유도에서 좌각차단 형태의 QRS파, 그리고 사지유도에서 우축 편위의 특성)을 보임
•
지속성 심실빈맥뿐 아니라 심실기외수축, 비지속성 심실빈맥도 흔히 동시에 관찰
•
20-50%에서는 운동에 의하여 유발
•
일반적으로 흉부 불쾌감, 심계항진의 증상이 나타나지만 지속성 심실빈맥이 빠른 속도로 나타날 때에는 실신이 동반되기도
•
장기적인 예후는 매우 양호
•
실신이 동반된 경우에는 빠른 심실빈맥이 있을 가능성을 시사하고, 이 경우 일부에서 급사 가능(악성 유출로 빈맥) : 조기에 Ablation 치료
(4) RVOT-VT의 치료
•
ACM이 있는지 확인 : US로 국소 벽운동 이상이나 심실벽이 불거져 나온 소견 확인
: 이상 있으면 심초음파를 추적관찰하거나 MR 등으로 ARVC의 가능성을 확인해야 한다.
•
악성 우심실빈맥 주의
거의 모두 실신 혹은 전실신(presyncope) 증상이 있다
보통 심박수가 매우 빠르다 : 심박수가 220회 이상이면 악성 VT 의심
•
응급 처치는 경동맥궁 자극(carotid sinus massage), adenosine이나 verapamil, lidocaine 주사 등을 시도
•
일반적 우심실빈맥은 약물에 대한 반응이 좋은 편이어서 일차적으로는 베타차단제, 칼슘차단제 등을 처방
반응이 없을 경우에는 class IC 항부정맥제를 단독 혹은 베타차단제/칼슘차단제와 병용 처방할 수 있다.
•
전극도자절제술에 대한 치료 효과도 좋아서 비교적 짧은 시술 시간에 좋은 효과 (80~90%)
C2. 좌심실유출로 빈맥 (LVOT/Aortic cusp tachycardia)
(1) 해부학(anatomy)
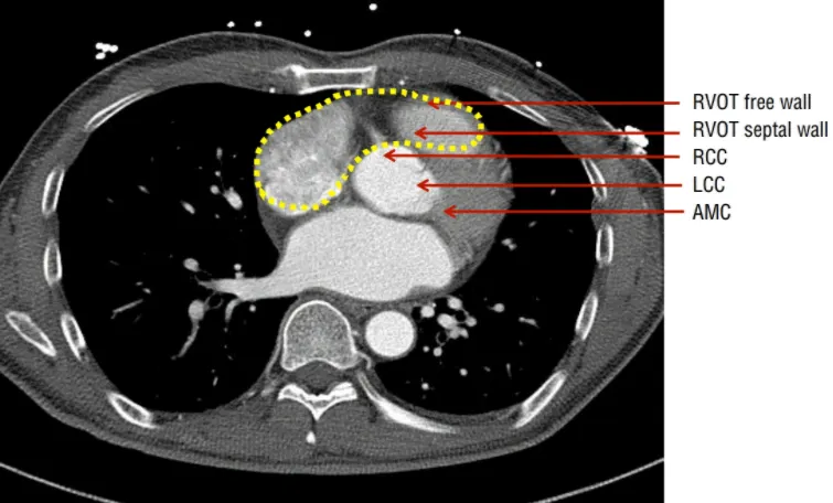
후방 RVOT는 LVOT와 대동맥 근부(aortic root)의 앞 쪽에 있다.
대동맥 근부는 심장의 가운데에 위치하고 RCC, LCC, NCC로 되어있다.
NCC는 심실과 바로 연결이 되지 않아 심실빈맥의 발생은 거의 없다.
좌우의 cusp는 심실과 바로 닿아 있고 좌심실 muscle fiber는 대동맥 근부로 뻗어있어 심실조기수축을 만들 수 있다.
Aortic cusp에서 발생하는 빈맥은 LCC가 가장 많고 그 다음이 RCC 그리고 좌우의 Cusp의 접합부(junction)에서 많이 발생한다.
(2) 심전도 특징
•
RBBB 패턴, QRS는 하향축
•
RVOT 위치보다 precordial transition이 좀 더 빠르다.
•
precordial의 R파는 V3 또는 이보다 먼저 transition된다.
•
R파가 >0.5 ms로 좀 더 넓고 V1, V2에서 R/S파가 좀 더 크게 나타난다.
D. Fascicular VT (Verapamil Sensitive VT)
•
left bundle branch의 fascicles에서 주로 발생
•
left posterior fascicular VT, left anterior fascicular VT, left upper septal VT로 나눈다.
•
Left posterior fascicular VT가 가장 흔하고 그 다음이 left anterior, left upper septal 순이다.
D1. 메카니즘
•
reentry에 의한 것으로 이는 심실 또는 심방 자극에 의해 유도, 종결된다.
D2. 심전도 특징
•
RBBB 패턴 QRS에 left superior axis
•
상대적으로 QRS가 Narrow하여 SVT+BBB 패턴 QRS와 혼동될 수 있다.
•
Left posterior fascicular VT : RBBB pattern + LAD
•
Left anterior fascicular VT : RBBB pattern + RAD
•
Septal VT incomplete RBBB pattern+normal axis
D3. 약물 치료
•
Verapamil이 빨리 종결시키는 데 효과적이다.
•
만성적인 verapamil 치료는 전극도자 절제술을 원하지 않을 때 사용하며, 베타차단제 또한 효과적이다.
D4. 전극도자 절제술
•
성공률이 높아 90% 이상 효과가 다.
E. 유두근 심실빈맥 (papillary muscle VT)
•
주로 운동에 의해서 일어나고,
•
catecholamine에 민감해 isoproterenol 또는 epinephrine에 의해 유도된다.
•
발생 기전은 국소성이며 회귀하지는 않는다.
•
종종 multiple QRS를 보이고 자연히 바뀌거나 절제를 통해 바뀐다
F. 윤상 심실빈맥
•
승모판과 삼첨판륜(tricuspid annulus)에서도 심실빈맥이 발생한다.
•
각각의 발생률은 비슷하여 삼첨판은 5-8%, 승모판은 약 5%이다.
마.1. 승모판륜(mitral annular) 심실빈맥
•
승모판륜 심실빈맥은 해부학적으로 구분된다.
•
주로 anterior mitral annulus에서 나오며 posterior or posteroseptal annulus는 드물다.
•
심전도는 우각 전도 차단 패턴의 monophasic R 또는 Rs in lead V2-V6가 보인다.
•
전극도자 절제술은 매우 성공적
마.2. 삼첨판륜 심실빈맥
•
삼첨판륜 심실빈맥은 8%에서 나타나며 우측 심실빈맥의 5%에서 보인다.
•
Septal site는 자유벽보다 더 많다고 보고되었지만, 다른 결과를 보인 연구도 있다.
G. 기타
1. 우심실에서 발생하는 부정맥
ARVD/C는 다른 심실빈맥과 감별이 중요하다.
2. Crux of the Heart
이곳은 중간심장정맥(middle cardiac vein)과 관상 부비동(coronary sinus)의 교차점에 가깝게 위치한 심외막 지점이다. 심전도는 left superior axis 및 early precordial transition과 delayed deflection을 보인다(Table 2).2
결론
특발성 심실빈맥은 심실빈맥이 구조적으로 정상이며 반흔이 없는 심장에서 발생하는 경우이다. 분류하면 유출로 심실빈맥, 다발성 심실빈맥, 유두근 심실빈맥, 윤상 심실빈맥, 기타 등으로 구분된다. 이런 심실빈맥은 주로 젊은 환자에서 비교적 좋은 예후를 보인다. 12-lead 심전도로 일반적인 발생 위치를 확인할 수 있고, 특이한 유형의 경우 결정적으로 구별하는 데에도 도움이 된다.2



.png&blockId=f619e26f-d31b-4f38-937b-17cf7754f500)







