※ 연령 별 치명적 복통
•
0~3개월 : volvulus
•
3개월~3세 : Intu
•
3세 이상 : appe
※ 치명적 condition은 bowel obstruction of peritonitis
※ Bowel obstruction / peritonitis 일 때 증상, 신체검진소견
•
obstruction : 복부팽만, 복부수술력, 장음항진
•
peritonitis : guarding, RT, perucussion td, 기침/점프 시 통증
※ 소아 복부검진은 서혜부와 음낭까지
A. 소아 급성 복통의 특징
•
진단이 어렵다
•
가장 흔한 진단은 nonspecific abdominal pain
•
대부분 저절로 좋아지는 흔하고 특별하지 않은 증상 (위장염, 변비, 바이러스 감염…)
•
소아응급실에서 복통의 평가 = 심각한 원인을 찾는 것
※ 소아 급성 복통의 심각한 원인?
•
장폐색 : 복부팽만, 담즙성 구토, 복부 수술력
- volvulus, intussusception
•
복막염 : gaurding, RT, Percussion tenderness
- appendicitis
B. 소아의 급성 복통을 유발하는 condition
Intestinal malrotation & volvulus | Renal stones | Colic |
Intussusception | Pancreatitis | Constipation |
Appendicitis | Cholecystitis | |
Pneumonia | ||
Inguinal hernia | Strep. Pharyngitis |
C. 소아 복통환자의 접근법
C1. 연령별 소아복통의 원인
나이 | 응급 | 비응급 |
0-3 개월 | Necrotizing enterocolitis
Volvulus
Incarcerated hernia
Testicular torsion
Nonaccidental trauma
Hirscchsprung’s enterocolitis | Constipation
AGE
Colic |
3개월-3세 | Intussusception
Volvulus
Testicular torsion
Appendicitis
Vaso-occlusive crisis | UTI
Constipation
HSP
AGE |
3세-청소년 | Appendicitis
DKA
Vaso-occlusive crisis
Ectopic preg, Ovarian torsion
Testicular torsion
Cholecystitis, Pancreatitis
UTI
Tumor
Pneumonia | Strep. pharyngitis
IBS
Pregnancy
Renal stones
PUD, gastritis
Ovarian cyst
HSP
Constipations, AGE
Nonspecific viral syndromes |
C2. 문진
(1) 필수질문
복부 수술력 : adhesive ileus
동반증상 (발열, 구토, 설사)
fever : infection
bilous vomiting : obstruction
diarrhea : viral AGE
복통의 위치 및 양상
C3. P/ex
(1) Appearance : stilness : peritoneal irrigation writhing : obstruction
(2) V/S
(3) Abdominal exam
•
distension : obstruction or mass
•
BS : decreased (ileus d/t peritoneal irritation) or increased (AGE or bpwel obstruction)
•
Focal tendernss(-) & Extraabdominal findings(-) : serious cause 가능성 낮음
•
Percussive tenderness / RT / guarding : peritoneal irritation sign
(4) Hip 움직여보기 - hip pathology or irritation (appendicitis or psoas abscess)
(5) Throroughly exam the diaper area - hernia, torsion…
D. 진단
(1) Bedside BST check - ill apearing / persistent vomiting / POI
(2) Obstruction / peritoneal irritation sign / Infection : Lab
(3) Diagnostic imaging
•
US 1st : Intu, pyloric stenosis, appe, torsion…
•
CT: most sensitive, radiation hazard
•
Plain radiographs : screening 목적으로는 찍지 말자 (크게 진단적 가치 없다)
Obstruction 등이 의심되는 경우에만
E. 놓치지 말아야 할 복부질환
E1. Intestinal malrotation & volvulus
(1) Intestinal malrotation
•
태생 10주 경 장이 복강 내로 들어오면서 SMA를 축으로 반시계방향으로 270도 회전하여 고정됨
•
이 때 비정상으로 회전한 상태가 intestinal malrotation
•
congenital diaphragmatic hernia, heteotaxia, abdominal wall defect와 관련
(2) Volvulus : life-threatening complication of malrotation
•
80% : 생후 1개월 이내 발병
•
90% : 생후 1년 이내 발병
•
나머지 10%는 어느 연령에서나 발생가능
(3) Midgut volvulus 임상양상
•
수 시간 내 중장 전체의 괴사를 유발할 수 있어 초응급상황
•
1세 미만에서는 구토, 그 외 소아 및 성인에서는 복통이 가장 흔한 증상
•
1세 미만 영아에서 갑작스런 복통, 담즙성 구토, 복부팽만, 보챔 증상 보일 시 의심
•
특히 구토로 온 영아에서 급성 병색, 혈역학적 악화(sign of shock) 보일 때 반드시 의심!!
•
congenital diaphragmatic hernia, heterotaxia, abdominal wall defect 등이 있는 아이가 구토로 왔을 때 의심
(4) 진단
•
복부방사선 사진
: air-filled stomach with little distal gas, 정상 gas pattern 일 수 있음.
: 단순촬영은 perforation 배제가 주 목적임
•
초음파 : reversed SMA/SMV axis, “whirlpool sign”
: 그러나, 안 보일 수도 있다.
•
상부위장관 조영술 : gold standard, 십이지장이 코르크따개 모양
(5) 치료
•
소생술 & 즉시 외과 의뢰 (rapid detorsion of volvulized bowel)
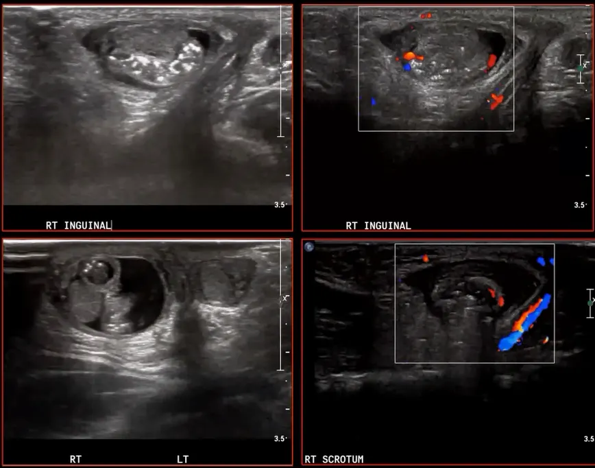
E2. Incarcerated hernia
incarcerated hernia. 도플러에서 아직 flow가 보여서, stranglation은 아직인 듯
reactive hydrocele 이 관찰됨.
(1) 특징
•
hernia의 65%에서 incarcerated hernia로 내원
•
incarceration은 1세 미만 영아에서 가장 흔함
(2) 임상증상
•
irritability / poor feeding / vomiting
(3) 감별진단
•
testicular torsion / testicular appendage torsion / hydrocele / undescended testicle …
(4) 치료
•
strangulation으로 진행할 수 있으므로, 가능한 한 빨리 정복 시도
•
manual ⇒ surgical
•
정복 성공 후에도 1/3에서 incarceration 재발 : 입원하거나 24시간 내 OPD f/u 필요
E3. Undescended testicular torsion
•
bimodal age distribution : neonatal / early puberty
(1) 신체검사
•
swollen, tender, high-riding testis, abnormal transverse lie
•
scrotal skin change
•
loss of cremasteric reflex, but 정상 reflex 보일 수 있음.
(2) Doppler US
•
enlarged testis, decreased or absent flow
(3) Tx.
•
time is critical : 증상 발생 6시간 이내라면 excellent saving rate
E5. Acute appendicitis
(1) 급성 충수염
•
소아에서 가장 흔한 수술적 응급
•
peak age : 9~12 세
•
남아가 더 많음
(2) 임상양상
•
pain migration + fever & vomiting < 50%
•
perforation rate : 4세 미만에서는 90%에서 발생
•
어린 소아 : 구토, 발열, 복막염, 패혈증 증상이 더 잘 나타남
•
압통 : RLQ (68%), McBunny’s point or entire abdomen
•
기침, 보행, 점프 시 통증 - peritoneal inflammation
(3) 진단
•
소아에서 진단을 놓칠 가능성이 높다
•
WBC count
: 불충분한 민감도, 특이도
: WBC < 10,000 : 강한 음성예측도
•
CRP
: 충수염 중증도와 관련
•
Clinical decision rule :
: Alvarado score, Pediatric appendicitis score
: low risk of appendicitis 감별 목적
(4) 영상검사
•
US : 6mm 이상의 non-compressible 한 tubular structure
•
CT : high sensitivity (94%), specificity (95%)
•
Radiation hazard
(5) 치료
•
OP
•
Abx.
: non-perforated : cefoxitin or ampicillin-sulbactam
: perforated : PIP/TAZ
•
Percutaneous drainage
: abscess formation
: delayed appendectomy
•
Ambiguous cases
: admission for serial abdominal exam by a surgeon


