A. 정의 및 병태생리
•
장중첩증: 한 장의 일부가 다른 장 안으로 말려 들어가면서 장 폐색과 혈류 장애를 유발
•
*주로 회맹부(ileocecal junction)**에서 발생하며, 대부분(90%)은 특발성
•
*선행 질환 또는 병변 (lead point)**은 10–25%에서 발견됨 (예: Meckel 게실, 림프종 등)
•
infant : lymphoid hyperplasia from viral illness
•
older children : Meckel’s diverticulum, intestinal polyp, lymphoma, congenital duplication, HSP, …
B. 역학
•
3개월~5세가 가장 흔한 연령
•
성비: 남>여 (3:2)
•
바이러스 감염(아데노바이러스 등) 후 발생률 증가
◦
5개월 ~ 3세 연령에서 가장 흔한 장폐색 원인
◦
2세 이하에서 가장 흔한 복부 응급
◦
신생아에서는 드물다
◦
남 : 여 = 2 : 1
◦
근위부 (intussusception)가 원위부 (intussuscipien)로 감입
◦
ileocolic (m/c), ceocolic, ileal
C. 기전
•
constriciton of the mesentery
→ VR 차단
→ intussuscptum의 engorgement
→ Edema & mucosal bleeding
D. 증상
•
고전적 triad: 복통 + 소시지형 복부 덩어리 + 커런트 젤리 변, 하지만 **<40%**에서만 보임
•
가장 흔한 증상: 간헐적, 갑작스러운 복통과 구토
•
소아 특히 1세 미만은 무기력, 의식저하로 비특이적 증상만 보일 수 있음
•
intermittent pain / lethargy → 진단이 쉽지 않다!
•
unexplained lethargy in infant ⇒ 반드시 장중첩 의심!
•
구토 : 6~12 시간 후 발생가능, 비담즙성 / 담즙설
•
XR : 진단적 가치는 낮으나, perforation 여부를 확인하기 위해 air reduction 시행 전에 찍어봐야 함.
E. 진단
•
전형적 증상 (반복적 보챔) Hx(+) ⇒ 즉시 배제 위한 검사 시행
E1. 신체검진
•
attack 사이에는 정상인 경우가 많다
•
sausage-shaped mass in RUQ
•
bloody stool (occult 70%, gross 50%)
•
“currunt jelly” stool : 딸기잼 같은 변 - 드물다
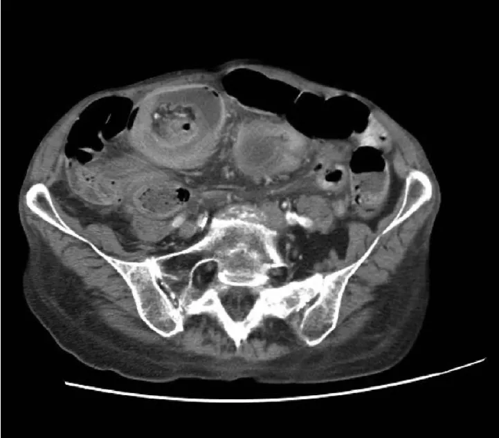
E2. 초음파
: 1st 검사 for 장중첩 진단 (정확도 : 거의 100%)
(1) 타겟사인(Target sign): 횡단면에서 동심원 모양
(2) 가성신장사인(Pseudokidney sign): 종단면에서 신장처럼 보임
E3. 복부 X-Ray
•
민감도 낮지만, 천공 여부 평가에 유용
E4. CT – 드물게 사용, 주로 성인이나 lead point 평가 시
F. 치료
•
N/S IV bolus for volume loss
F1. 비수술적 정복 (Non-operative reduction)
•
공기(pneumatic) 또는 수압(hydrostatic) 관장으로 시행
•
성공률: 80–95%, 성공 후 수액 및 경구 가능하면 퇴원 가능
•
Air-contrast enema
공기관장 성공 전후
F2. 수술 필요 조건:
•
천공, 패혈증, peritonitis, 반복 실패, 병리적 lead point
•
Emergent surgical reduction
: peritonitis
: Free air on plain XR
: Shock
F3. 주의사항
•
재발률 최대 10%, 대부분 48시간 이내 발생
•
24시간 입원 감시 후 퇴원 또는 응급실에서 짧은 관찰 후 퇴원 가능
Table 1. 소아 장중첩증의 핵심 요점
•
장중첩증은 한 장의 일부가 다른 장 안으로 말려 들어가는 현상으로, 방치 시 장 폐색이나 천공으로 진행될 수 있습니다.
•
호발 연령은 생후 4개월에서 3세 사이이며, 대부분 **회맹부(ileocolic junction)**에 발생합니다.
•
원인은 대부분 특발성이지만, 흔하게는 선행된 바이러스 또는 장 감염과 관련이 있으며, 일부에서는 **병리적인 종괴나 기저 질환으로 인한 선행 병변(lead point)**이 원인이 됩니다.
•
전형적인 증상은 갑작스럽고, 심하며, 간헐적인 복통과 구토이며, 증상이 없는 기간과 반복됩니다. 고전적 3대 증상인 복통, 촉진 가능한 종괴, 커런트 젤리 변은 흔하지 않으며,
특히 영유아는 복통 없이 의식 변화나 무기력 등의 비전형적인 증상으로 나타날 수 있습니다.
•
따라서, 복통, 구토, 혈변, 소시지 모양의 복부 종괴, 또는 원인 불명의 의식 변화나 무기력이 있는 소아에서는 반드시 장중첩증을 고려해야 합니다.
•
초음파는 진단에 가장 적합한 영상 검사법이며, 타겟 사인(target sign) 또는 **가성신장 사인(pseudokidney sign)**을 평가할 수 있습니다.
단순 복부 X-ray는 복막염 또는 장 천공 여부를 확인하는 데 사용할 수 있지만, 장중첩증을 배제하는 용도로는 적절하지 않습니다.
•
혈액검사는 진단에 결정적이지 않지만, 탈수나 중증 환자에서 보조적으로 시행할 수 있습니다.
•
치료는 환자의 상태와 혈역학적 안정성에 따라 결정됩니다. 불안정하거나 복막염이 있는 경우, 응급 외과 협진 및 수술적 치료가 필요합니다.
•
안정적이고 복막염이 없는 경우, **초음파 또는 투시(fluoroscopy) 유도 하 비수술적 정복(공기 또는 수압 관장)**이 일차 치료법입니다.
단, 1세 미만 또는 5세 초과, 장폐색, 증상 지속 시간이 24–48시간 이상인 경우에는 성공률이 낮아질 수 있습니다.
•
비수술적 정복이 성공하고, 환자가 좋은 활력 징후와 경구 섭취 가능, 증상 재발 없음을 보이면, 입원 없이 퇴원 가능하며 명확한 재내원 주의사항 안내가 중요합니다.
단, 최대 10%에서 재발 가능성이 있으므로, 보호자에게 철저한 재내원 안내 교육이 필요합니다.






