* 담낭의 염증을 의미하며 통 obstructing gallstone에 의해 발생
A. 급성 담낭염(Acute cholecystitis)
A1. 병태생리
(1) Gallstone Types (Table 79-5)
(2) 감염원
: 그람음성균 (E. coli, Klebsiella), 그람양성균(Streptococcus, Enterococcus), 혐기성균
A2. 임상 양상
(1) 병력
•
상복부 통증이 있으며 이전에 담낭을 제거하지 않은 특히, 노인 환자에서 의심
•
우상 복부 이외에도 심와부, 허리, 등, 견갑골, 우측 어깨가 아플 수 있음 (방사통)
•
Biliary colic : 수 시간동안 지속되는 통증 (1~5시간 정도 지속되다 저절로 사라짐)
•
오래 지속되는 통증이라면 담낭염이나 담관염을 고려해야 함
(2) 신체진찰
•
RUQ tenderness / Murphy’s sign / Fever 유무 및 jaundice 유무 확인
A3. 진단
(1) 검사실 검사
•
Leukocytosis, CRP 상승
•
AST, ALT, ALP 상승 시 CBD stone, 담관염, Mirizzi syndrome 가능성 있음
(2) 초음파
•
응급실에서 Imaging modality of choice
(3) CT
* 초음파 결과가 애매할 때 시행
: 담낭벽 비후(>3mm)
: 담낭 주위 액체 저류
: 담낭 크기 증가 (단축 > 3.5cm, 담석 및 fluid 존재)
(4) Tc-99m Hepatobiliary iminodiacetic acid cholescitingraphy (HIDA scan)
: 담낭의 기능을 는 검사, Biliary dyskinesia 감별에 유용
: Serum bilirubin level에 따른 검사 선택
- 5mg/dL 이하 → HIDA Scan(민감도 97%, 특이도 90%)
- 5mg/dL 이상 → DISIDA (diisoprpyl IDA) Scan
A4. 치료
•
증상이 없는 담석은 치료가 필요 없음
•
간경화, 문맥 고혈압, 겸상 적혈구 질환, 간 이식 예정자 경우는 치료를 고려
•
통증은 NSAIDs, 마약성 진통제로 조절 및 외과와 상의
•
항생제는 진단 즉시 투여
◦
2세대와 3세대 Cephalosporins + carbapenems + β-lactam/β-lactamase inhibitor
or Metronidazole + fluoroquinolone
B. 급성 담관염 (Cholangitis)
•
담관 폐쇄와 감염에 의해 발생
•
Charcot's triad : 우상복부 통증, 발열, 황달 - 50% 미만에서 나타남
•
Reynold's pentad : Charcot's triad + 의식 변화, Shock : 5% 미만에서 나타남
•
치료 : 수액 공급, 광범위 항생제 투여, Biliary decompression
(1st ERCP 2nd PTBD or surgical drainage)
•
주요 원인균: 장내 세균 (E. coli, Klebsiella, Enterobacter), 드물게 Enterococcus, Pseudomonas, 혐기균
B1. 경증~중등증 (지역사회 획득)
•
Ceftriaxone (3세대 세팔로스포린)
•
Cefuroxime (2세대 세팔로스포린)
•
Levofloxacin, Ciprofloxacin (플루오로퀴놀론)
B2. 중증 또는 위험인자 동반 (고령, 면역저하, 담관-장문합 환자)
•
Piperacillin-tazobactam
•
Carbapenem (Imipenem, Meropenem, Doripenem)
•
Cefepime + Metronidazole 병합
B3. 의료관련 감염 (병원 내 감염, 내성균 위험)
•
위의 중증 요법 + Vancomycin (MRSA 고려)
C. Special condition
C1. Emphysematous cholecystitis
(1) 공기 음영이 담낭 벽과 내강에서 관찰됨 (x-RAY, US, CT)
(2) 당뇨, 고령 환자에서 보다 흔함
(3) Mortality가 높아 빠른 치료 필요. broad spectrum antibiotics 바로 적용.
(4) Urgent cholecystectomy를 고려하기 위해 surgical consultation 해야 함.
(5) Severely ill patients에서 alternative therapy로 PTGBD를 우선 하기도 함
C2. Gallstone ileus
(1) Ectopic gallstone이 biliary enteric fistula로 intestinal lumen에 도달하여 소장의 기계적 폐쇄
(2) 진단 : X-ray, CT
(3) Rigler’s triad : Small bowel obstruction, Pneumobilia, Ectopic gallstone
(4) 치료 : Operative therapy
C3. Acalculous cholecystitis
(1) Critical illness, immunocompromised
(2) US, CT, Cholecintigraphy
(3) Fullminat course로 진행이 더 쉬우며 합병증으로는 gangrene과 천공
C4. Postcholecystectomy syndrome
(1) 담낭 제거 후 지속되는 통증
(2) Early phase : bile leak
(3) Choledocholithiasis가 흔한 원인
D. Tokyo Guideline 2018
A.TG18/TG13 diagnostic criteria for acute cholecystitis
A1. Local signs of inflammation etc.
•
Murphy's sign
•
RUQ mass/pain/tenderness
•
Mass in the RUQ
A2. Systemic signs of inflammation etc.
•
Fever
•
elevated CRP
•
elevated WBC count
A3. Imaging findings
•
Imaging findings characteristic of acute cholecystitis
Suspected diagnosis: one item in A1 + one item in A2
Definite diagnosis: one item in A1 + one item in A2 + A3
급성 담낭염의 전형적인 초음파 이미지. (a) 담낭 주변 액체. 담낭의 왼쪽에 담낭 주변 액체가 나타나며, 담낭 안에 담석과 찌꺼기도 보인다. (b) 괴사성 담낭염에서 나타나는 내강 내 플랩. 내강 내 플랩을 나타내는 선형 에코 발생선이 보인다.
B. TG13 severity grading
B1. Grade III (severe) acute cholecystitis
associated with dysfunction of any one of the following organs/systems:
1. Cardiovascular dysfunction: 승압제를 써야 하는 저혈압
2. Neurological dysfunction: decreased level of consciousness
3. Respiratory dysfunction: PaO2/FiO2 ratio <300
4. Renal dysfunction: oliguria, creatinine >2.0 mg/dl
5. Hepatic dysfunction: PT‐INR >1.5
6. Hematological dysfunction: platelet count <100,000/mm3
B2. Grade II (moderate) acute cholecystitis
associated with any one of the following conditions:
1. Elevated WBC count (>18,000/mm3)
2. Palpable tender mass in the right upper abdominal quadrant
3. Duration of complaints >72 ha
4. Marked local inflammation (gangrenous cholecystitis, pericholecystic abscess, hepatic abscess, biliary peritonitis, emphysematous cholecystitis)
B3. Grade I (mild) acute cholecystitis
“Grade I” 급성 담낭염은 “Grade III” 또는 “Grade II” 급성 담낭염의 기준에 해당하지 않음. 이는 장기 기능 이상이 없고 담낭에 경미한 염증 변화만 있는 건강한 환자에서 발생하는 급성 담낭염으로 정의될 수 있으며, 담낭 절제술은 안전하고 낮은 위험을 가진 수술적 절차로 간주됩니다.
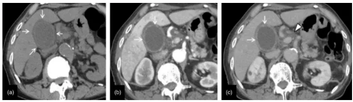
괴사성 담낭염의 전형적인 컴퓨터 단층촬영(CT) 이미지. 70대 여성, 괴사성 담낭염(급성 비결석성 담낭염). 동적 조영증강 CT (a, 일반; b, 초기 단계; c, 평형 단계). 일반 CT에서 담낭의 확대, 담낭 벽의 두꺼워짐, 담낭 장막 아래의 부종성 병변이 나타납니다(화살표). 조영증강 CT (b, c)에서는 담낭 벽의 불규칙성과 부분적인 조영 증강 부족이 보이며(화살표) 이것이 괴사성 담낭염의 특징적인 소견입니다. 초기 단계에서 간 실질의 일시적인 염색 (b)과 간십이지장 인대의 부종성 변화 (c, 화살표)가 나타나며, 이는 염증의 확산을 시사합니다.
acute suppurative cholecystitis 환자에서 SIRS로인해 PTGBD를 먼저 시행한 후 배액된 담즙 사진 및 이에 대한 소견입니다.
Bile color의의: 정상 bile color는 yellor or green색입니다. obstruction으로 인해 bile color는 dark green or white로, infection으로 인한 것이라면 purulent, thick fluid로 보일 수 있습니다. 따라서 obstruction, infection들을 감별하는데 도움을 줄 수 있다고 판단됩니다.
상기 환자 배액된 bile색깔은 dark-green양상이며 turbid한 양상이므로 obstuction과 infection소견 보입니다. 따라서 진단명은 acute suppurative cholecystitis(GB empyema)로 생각됩니다.







