Primary pulmonary tuberculosis
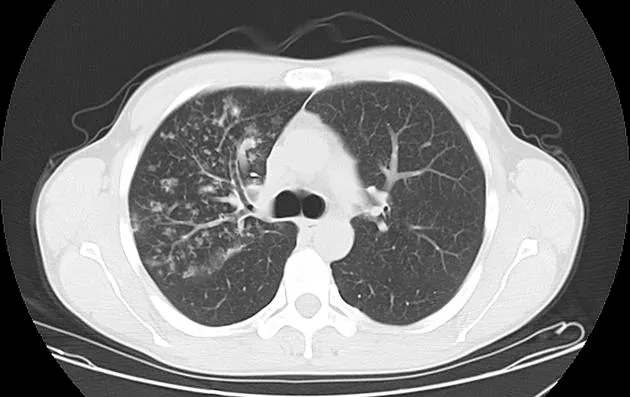
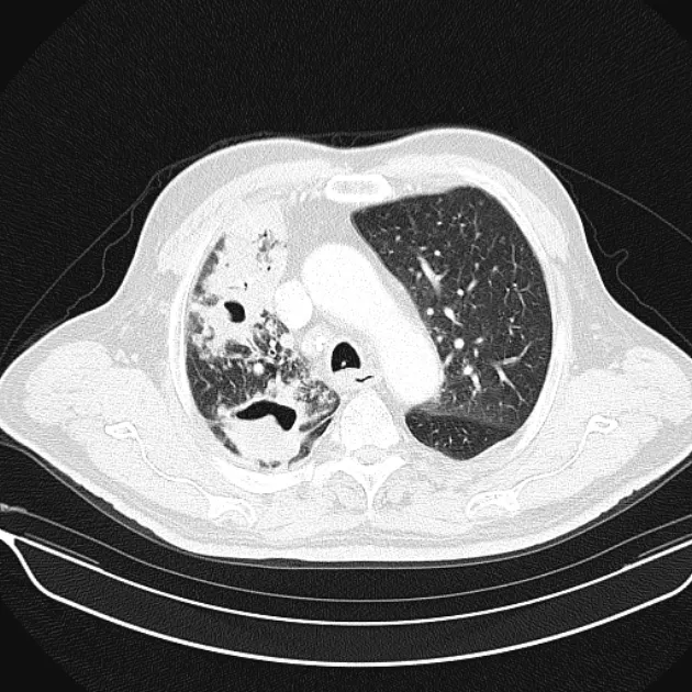
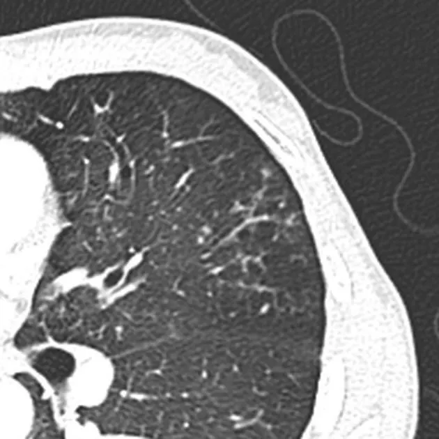
Post-primary pulmonary tuberculosis
대부분의 환자는 다음 두 곳에 생김
Posterior segments of the upper lobe
superior segments of the lower lobe
Typical findnigs
1) Patcy consolidation 또는 poorly defined linear and nodular opacities
2) air-fluid level : airway와 communication 형성 의미
3) endobronchial spread
•
경계가 분명한 2~4 mm 크기의 nodules 또는 branching
•
Tree-in-bud sign : 의미. 흔함.




