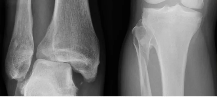
Mechanism
Eversion + lateral rotation
May cause medial malleolar fracture or deltoid ligament disruption
Injury proceeds along syndesmosis and involves proximal fibula
Always rule out Maisonneuve fracture in medial malleolar/ligamentous injury
If injury proceeds along syndesmosis it involves proximal fibula = Maisonneuve Fracture
Always rule out Maisonneuve fracture in medial malleolar/ligamentous injury


