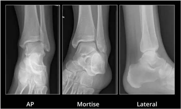
AP
Identifies fractures of malleoli, distal tibia/fibula, plafond, talar dome, body and lateral process of talus, calcaneous
Mortise
Ankle 15-25 degrees internal rotation
Evaluate articular surface between talar dome and mortise
Lateral
Identifies fractures of anterior/posterior tibial margins, talar neck, displacement of talus

