B. 진단
B1. History
: 확실하게 외부 충격이 없었을 것 (혼자 놀다가 아파하는 건 안 됨)
: 팔을 잡아당긴 확실한 병력만 있을 경우
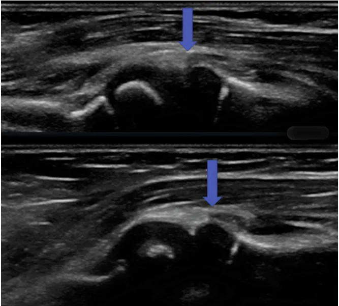
B2. 초음파 진단. Antecubitum 부분을 US 로 관찰한다
(1) Pulled elbow 시 US 소견
•
화면의 왼쪽 편에 상완골의 말단과 Capitellum 이 보이며,
•
화면의 오른 편에 Radial Head 가 관찰됨.
•
위 그림 : radiocapitellar joint로 끌려 들어간 Supinator muscle (supinator가 radial head를 넘어감)
•
아래그림 : 정복술 후. Supinator 가 radial head를 넘어가지 않는다.
다른 사진, 소위 “hook sign”이 관찰된다
C. 정복술
Hyperpronation
Supination / Flexion
“click”이 느껴져야 한다.
D. 보호자 설명
재탈구 가능성이 꽤 있음을 설명한다 (보다 적은 힘으로도 빠질 수 있다)
지속적으로 아파하는 경우 재정복이 필요할 수 있음
초등학교 입학 연령 전까지는 재발 가능





