A. Overview
•
ICP 추정 - idiopathic intracranial hypertension (pseudotumor cerebri) 진단에 유용
•
Optic nerve sheath는 두개강내 공간과 직접적으로 연결되어 있다. 따라서 ICP가 증가하면 nerve sheath도 늘어나며, 종종 optic disc가 bulging 되게 되는데, 이로인해 fundoscopic exam에서 papilledema로 나타나게 된다. 그러나 Ophthalmoscopy는 어려우므로 ER, ICU에서는 거의 안 한다.
•
B. ONSD
•
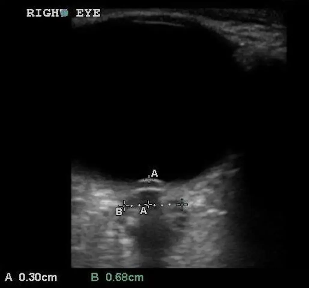
ONSD를 측정하기 위해서는 3×5를 기억해야 한다.
◦
양쪽 눈에서 Globe의 posterior aspect에서 3mm 뒤쪽에서 측정한다
◦
5 mm 미만은 정상, 5~6 mm 는 indeterminate, 6mm 초과는 증가한 것으로 판단
•
5 mm 기준으로 ICP 20 cmH2O 이상의 ICP 증가에 대한 민감도는 88% to 100%, 특이도는 63% to 95%로 보고됨 (Shevlin 2015)
•
ONSD가 5~6 mm 범위에 있을 때 papilledema 가 있으면 도움이 되지만, 없다고 해서 ICP가 정상이라는 것은 아니다.
•
For a deep dive into the evidence see: https://emcrit.org/pulmcrit/pulmcrit-algorithm-diagnosing-icp-elevation-ocular-sonography/
Elevated ICP: Dilated Optic Nerve Sheath with Papilledema
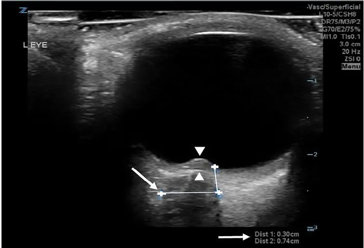
C. Optic disc elevation
•
optic disc의 ant. peak 와 globe의 post. surface 사이 거리 > 0.6 mm
→ Papilledema
D. Ocular US로 ICP 증가 진단 알고리듬
•
가장 널리 알려진 ICP 증가 추정방법은 안구 뒤편 3mm 지점에서 ONSD를 측정하는 것.
•
ONSD는 다음과 같이 해석이 가능
◦
<5 mm is normal
◦
5-6 mm is a grey zone
◦
>6 mm is abnormal, suggesting ICP elevation
•
많은 환자가 5~6 mm 사이의 Grey zone 에 위치 - 판단에 주의해야 한다.
D1. Papilledema
•
ICP 증가로 인한 retinal disc의 부종.
•
전통적으로 ophthalmoscope으로 진단
•
Ophthalmoscopy는 어려우므로 ER, ICU에서는 거의 안 한다.
•
papilledema는 Ocular US로 발견가능
D2. Pseudopapilledema?
Pseudopapilledema 는 ICP 증가 이외에 optic nerve edema를 유발하는 원인 :
(1) Optic Disc Drusen
•
optic disc 내의 칼슘침착.
•
US에서 echo가 증가하여 매우 밝게 보이며, clean한 post. shadow 가 나타남 (GB stone과 비슷함).
•
약간의 visual symptom이 나타날 수는 있으나 본질적으로는 benign 한 현상이다.
(2) Inflammation
•
generally due to optic neuritis, sarcoidosis, syphilis, or lupus
•
염증은 종종 일측성으로 나타난다는 점에서 양측성으로 나타나는 papilledema와는 차이가 있다.
D3. Integration of ONSD and papilledema
이론적으로 papilledema와 ONSD는 다음과 같이 2×2 표로 통합될 수 있다.
그러나 ONSD가 완전히 정상이거나 완전히 비정상이 아닌 경우가 많기 때문에 더 복잡하다.
전반적으로 ONSD에 대해서는 강력한 evidence가 있다 [Shevlin 2015]. 이것에 의해, ICP 가 상승하고 있는지 아닌지를 판단하기 위해서, 다음의 2층 알고리즘이 발생합니다.
Pretest의 가능성도 중요하다. 상당한 의식변화가 있는 중환자에게 이 알고리듬을 적용한다면, 이러한 환자는 ICP 상승률이 평균보다 높고, 가성 부종의 발생률은 비교적 낮다.
따라서 위 알고리즘은 중환자에서 상당히 잘 작동될 것으로 예상됨. 반면, 이 알고리즘을 안과 외래 환자에게 적용하면, 일부 pseudopapilledema 환자를 ICP 상승이 있는 것으로 오진할 수 있다.
D4. Clinical utility of ICP estimation?
•
Optic nerve가 정상으로 보인다고 해서 심각한 뇌병변을 배제할 수 있는 것은 아니다.






