A. Globe rupture
•
Do NOT perform ultrasound if known globe rupture
•
Presentation:
◦
Painful vision loss after high impact blunt or penetrating trauma
◦
Can visualize distortion of pupil, extrusion of vitreous fluid and prolapse of internal structures on physical exam
•
Findings:
◦
Decrease in size of the globe
◦
Anterior chamber collapse
◦
Vitreous hemorrhage (see below)
◦
Disruption of normal globe architecture
Globe Rupture – Source: Dr Craig Hacking, https://radiopaedia.org/From the case https://radiopaedia.org/cases/35142
•
Retrobulbar Hematoma
◦
Presentation:
▪
Proptosis
▪
Elevated intraocular pressure (>40 mmHg)
▪
Decreased visual acuity after trauma
◦
Findings:
▪
Hypoechoic fluid collection posterior to the globe
◦
Note: This is an ocular emergency and can lead to permanent vision loss if not decompressed rapidly
◦
In cadaver lab study: Sensitivity 85%, Specificity 89%, PPV 66%, NPV 95.9% for EM residents. EM US fellowship trained attendings had a sensitivity of 100% (Gibbons 2018)
•
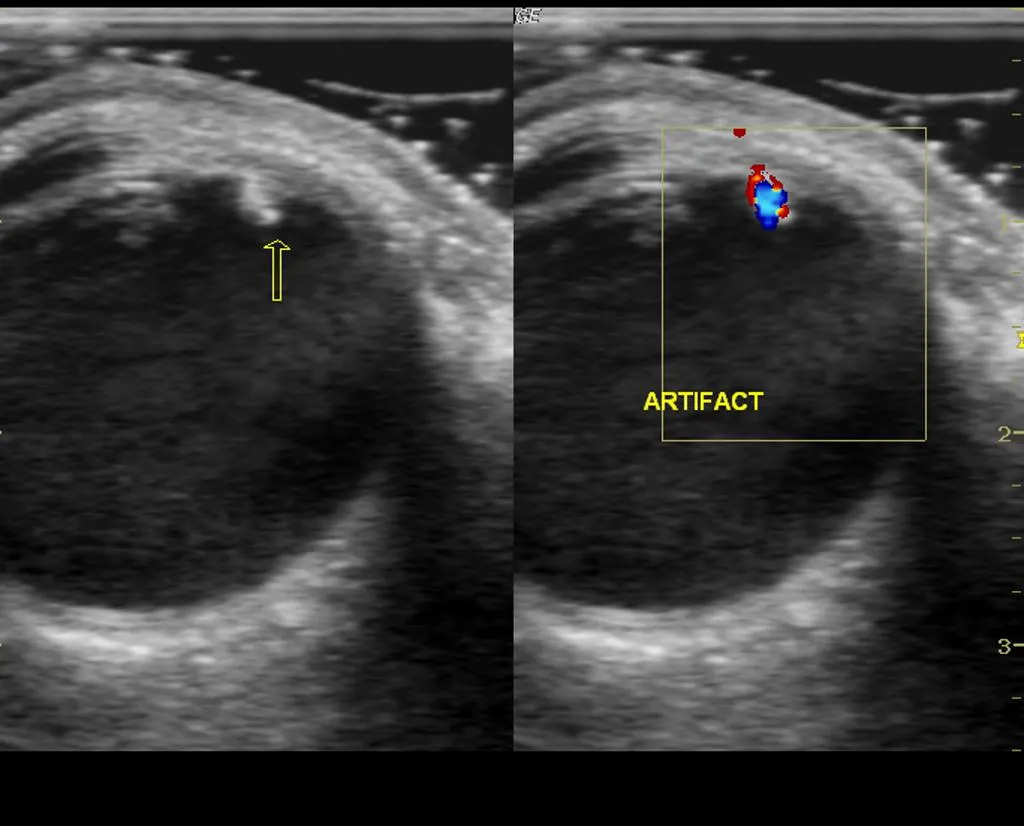
Foreign Body
◦
Presentation:
▪
Secondary to eye trauma, notably projectile penetrating trauma
▪
Can present with or without pain and vision loss
▪
May be asymptomatic
◦
Note: Even asymptomatic foreign bodies can progress to permanent vision loss so all patients should be carefully evaluated
◦
Findings:
▪
Hyperechoic object, possibly producing shadow or comet tail artifact
▪
Can also see “twinkle” artifact when color doppler is applied
◦
In porcine model with metallic foreign bodies: Sensitivity 88%, Specificity 96%, PPV 96%, NPV 85% (Shiver 2005, PMID: 16179616)
Foreign Body – Source: Dr Maulik S Patel, https://radiopaedia.org/From the case https://radiopaedia.org/cases/21698
•
Lens Detachment
◦
Presentation: May present as decreased vision with a normal pupillary response and without signs of open globe injury
◦
Note: Usually due to trauma. Occurrences in children or secondary to minor trauma should prompt investigation for an underlying genetic cause
◦
Findings: Posteriorly-displaced lens
◦
Sensitivity 84.6%, Specificity 98.3%, Positive Likelihood Ratio 49.5, Negative Likelihood Ratio 0.15 (Haghighi 2014, PMID: 26495362)
Video Player
00:00
00:05


