A. Epidemiology
1.
대퇴골절의 40%는 6개월 이내에 수상 이전의 ambulation 상태로 회복하는데 실패하고 1년 이내 독립적인 생활로 돌아갈 수 없다. 25%는 12개월 이내 사망.
2.
대퇴 탈구는 혈액 공급을 방해하여 무혈성 괴사를 일으킬 수 있다 (약 25%)
B. Anatomy and Pathophysiology
B1. 정의
(1) Intracapsular (femoral head and neck) or extracapsular
① 자간골절 (Trochanteric fx.) : Greater/lesser
② 전자간골절 (Intertrochanteric fx.) : Greater to lesser trochanter 사이의 골절
③ 전자하골절 (Subtrochanteric fx.) : Lesser trochanter에서 5cm 아래 부위의 골절
(2) Femoral shaft
: Lesser trochanter 5cm 아래에서부터 femoral condyle 전까지 부위의 골절
B2. Anatomy
(1) Acetabulum과 femoral head로 이루어진 Ball-and-socket joint
(2) Joint 주변으로 fibrous capsule이 모든 면을 둘러쌈
① Proximal attachment : Acetabulum
② Distal-anterior attachment : Intertrochanteric line
③ Distal-posterior attachment : Femoral neck (제일 약한 부분) → 탈구가 가장 많이 발생
(3) 혈액 공급
: Femoral head를 통해 대부분 들어오므로 femoral neck fx.의 경우 혈액 공급이 방해될 수 있다
① Medial & lateral femoral circumflex arteries (Main supply)
② Obturator and gluteal arteries의 branches, foveal artery (Ligamentum teres)
C. 임상양상
C1. 병력 청취
(1) 노인에서의 낙상은 hip fx.를 강하게 의심해야함
(2) 암, 만성신질환, 장기간의 Steroid → 골다공증, 무혈성괴사, 병적골절
(3) 손상 부위 외에도 무릎, 사타구니, 또는 다른 동반 손상 부위의 통증 호소 가능
(4) 감각의 저하를 호소하지 못할 수도 있고 치매 환자는 occult hip fx. 가 있어도 걸을 수도 있음
C2. 이학적 검사
(1) 변형, 단축, 회전, 열상, 멍, 하지의 불안정성 확인
(2) 골반 or sacrum의 압통이나 crepitus 확인, axial load는 occult fx.를 찾아내는데 아주 sensitive함
(3) Hip의 range of motion 확인 → Leg extension 상태로 hip rotation에 통증 느낄 시 더 이상의 hip maneuver는 하지 말 것
(4) 복강내, 후복막, femoral shaft, knee, 비뇨기과적 동반 손상 가능성에 대해 확인
(spinal또는 pelvic injury 의심 시 직장수지검사 – 남성의 경우 전립선까지 확인)
(5) 신경에 대한 운동 및 감각 평가
(6) 손상 부분 원위의 맥박 촉지 : Popliteal, dorsalis pedis, posterior tibialis → 혈관 손상 의심 시 CT angiography 시행
D. 진단
•
의식 없는 모든 다발성 외상 환자 또는 골반/엉치/하지 손상 가능한 기전의 외상 환자에서 pelvis와 hip의 영상 검사 시행
D1. Imaging
(1) Hip AP & lateral, Pelvis AP 촬영 (민감도: 90~98%)
(2) Femoral shaft fx. 가 의심되면 AP, lateral view 촬영. 관절 상하를 모두 포함하여 검사해야 함.
E. Hip fractures
E1. Intracapsular Fracture
(1) 대퇴골두 골절 (femoral head fractures)
① 특징 : 단독 골절 드물고 대개 탈구와 동반됨, 주로 수술적 정복이 필요 (하지만 당장 수술 힘들 경우 응급실에서 한 번 정도 정복 시도해볼 수 있음)
② 정복 지연 시에는 무혈성괴사 가능성 높아짐
③ 예후인자 : 외상의 severity, 탈구 정복의 delay, 반복적인 탈구 시도의 실패
(2) 대퇴경부 골절 (femoral neck)
- Blood supply disruption 주의
① 호발인자 : 노인, 여자 > 남자
② 원인
: 낙상 (90%)
: 젊은 사람의 경우 high-energy trauma, stressful fracture
: 소아에서 발생하는 경우, 단강 골낭(unicameral bone cyst) 병변이 있으면 항상 pathologic fracture 가능성을 고려
: 모든 연령에서 저에너지 기전에서 발생한 골절은 기저 암의 가능성을 고려
③ 임상양상
: 샅부위~허벅지 안쪽까지 가벼운 통증부터 약간의 움직임에도 심한 통증이 발생하는 등 범위 다양
: Nondisplaced → 샅 또는 허벅지 안측의 경미한 통증, 걸을 수 있다
: Displaced → 심한 통증, 무게 실지 못함, 다리의 단축 및 외전, 외회전 종종 혈액공급이 저하되어 무혈성 괴사를 일으킬 수 있음.
④ 동반손상
: 해당 측 femoral shaft fracture (6~9%에서 동반)
: 고에너지 손상이므로 femur와 knee 영상도 반드시 촬영해야 함
⑤ 영상
: Pelvis AP, hip lateral view
: 골피질 또는 trabecular line의 파열을 확인하는 것이 가장 정확
: Shenton’s line, Neck-shaft angle 확인은 부정확
: AP에서 displaced fracture 보이더라도 골절 방향 확인 위해 lateral view 촬영할 것
⑥ 치료
: 일단 골절이 확인되면 편안한 자세를 유지하고 추가적인 external immobilization은 필요하지 않음.
: Skeletal traction은 무혈성괴사를 일으킬 수 있으므로 금기
: 수술이 outcome은 좋으나 신체 나이, 활동 정도, 골절 중등도 등을 고려하여 결정
: 비수술적 치료 - Non-ambulatory, hospice, palliative care 환자에서 고려되며 충분한 통증 조절이 중요
⑦ 예후인자 : Displacement의 정도, 합병증의 수와 중증도
⑧ 합병증(AVN, DVT, PTE 등) 예방에 빠른 보행과 재활치료가 중요
E2. Extracapsular Fracture
(1) 단독 전자 (Isolated trochanteric)
① 대전자(Greater trochanteric)
: 주로 gluteus medius에 의한 avulsion
: 청소년(7~17세)에서는 진짜 골단 분리를 의미하고 성인에서는 직접 충격에 의해 발생
② 소전자 (Lesser trochanteric)
: 청소년에서 장요근(ileopsoas)에 의한 avulsion, 특히 체조, 무용수
: 노인일 경우 병적 골절
③ 치료
: 대부분 비수술적치료. 목발을 사용하여 touch-toe보행, 3-5일 후 opd f/u : 골편 벌어짐이 심할 경우 ORIF 가능.
(2) 전자간 (intertrochanteric)
① 특징 : 골다공증 노인, 여성에서 흔함, 주로 낙상
② 분류 : 골절선의 개수와 벌어짐 정도에 따라 분류
③ 치료 : 정형외과 consult, 최대한 빨리 surgical fixation, skin traction은 추천되지 않음
④ 합병증 및 예후는 관련된 손상, 기저 질환, 보행여부와 연관됨.
: Blood loss 많을 수 있으므로 필요 시 crystalloid infusion 또는 수혈
⑤ 합병증 : 감염, 폐색전증(흔함) / 무혈성 골괴사, 불유합(흔하지 않음)
(3) 전자하 (subtrochanteric)
① 정의 : 소전자 5cm 아래의 부위에서 발생한 골절
② 특징 및 기전
: 골다공증 노인의 낙상(common), hip fracture의 15% 차지
: 젊은이 - 고에너지 손상, major trauma
: Bony metastases로 인한 병적 골절
③ 임상양상 : 심한 통증, ecchymosis, crepitus, 변형, 심각한 출혈 발생 가능
④ 치료 : 통증 조절, immobilization, 정형외과 consult
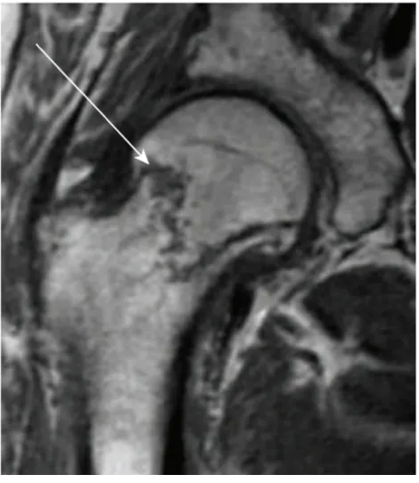
E3. Occult Hip Fractures
(1) X-ray에서 골절선이 발견되지 않으나 걸을 수 없거나 보행 시 심한 통증을 호소하는 경우 CT 또는 MRI (100% 민감도) 촬영해야 함
(2) Stress, incomplete, nondisplaced의 경우 몇 주후에도 x-ray로는 안 보일 수 있음
(3) 치료 : MRI 통한 배제 전까지는 weight-bearing 금지, 정형외과 외래 추적
F. 대퇴 몸통 골절 (Femoral shaft fractures)
원인 : 젊은 이, high-energy trauma, 동반 외상성 손상 흔함
F1. 종류
(1) Trauma
① Transverse fracture with displacement (m/c)
② Oblique/spiral oblique fracture, comminuted segments
(2) 병적 골절 : rare, 전이 병변 또는 원발성 암 가능
F2. 임상 양상
: 사지의 단축, 변형, 부종
F3. 전 처치
(1) 현장에서 stabilization가 통증 최소화, 골절의 comminution 예방, 혈액손실 예방
(2) 개방골절, 신경이나 혈관, 무릎 손상 의심될 경우 traction splint 금기
(3) Neurovascular examination: sciatic nerve injury 가능성
F4. 진단
: Femur AP, lateral view, 다른 동반 손상 검사 위해 pelvis, hip, knee 같이 촬영
F5. 치료
(1) 개방골절 시 broad-spectrum antibiotics, 충분한 irrigation, 정형외과 consult
(2) Blood loss가 1200ml 까지 될 수 있음
(3) IM nail (Intermedullary nailing) - 대부분의 femoral shaft fracture에서 선호
(4) External fixation – 심하게 오염된 개방성 골절
(5) 심한 동반 손상이 있는 환자 : Early external fixation → delayed ORIF
G. 고관절 탈구
G1. 병태 생리
(1) 자연 관절 탈구 : 대부분 High-energy trauma, 95%에서 동반 손상
(2) 인공 관절 탈구 : Minimal trauma로도 가능
(3) m/c cause : 자동차 사고
(4) 종류 : 후방 탈구 (>90%), 전방탈구 (about 10%)
(5) 정형외과적 응급
① 가능한 빨리 정복할 것 (6시간 내)
② 신경/혈관적 손상이 있는 경우 가능한 한 빨리 정복
→ 정복이 10~15시간 늦어지면 무혈성 골괴사 위험이 <10%에서 거의 25%까지 증가함
③ Closed reduction이 실패하면 전신마취하에 open이든 clese든 정복을 해야함
G2. 후방 탈구 (>90%)
(1) 기전
: 굽힌 무릎이 계기반에 부딪히면서 femur에 posterior force가 가해져 탈구
(2) 임상 양상
: 하지 단축, 굴곡, 내회전 (femoral neck fx의 외회전과 차이점), 내전
(3) 진단
① Pelvis & hip AP, lateral view
② Acetabulum과 femur에 대한 검사 반드시 시행 (CT)
③ Femoral shaft fracture 시 탈구 놓칠 수 있음 → Routine pelvis & hip x-ray 촬영
(4) 합병증
① Sciatic nerve 손상 : 10%, 무릎 골절, 발과 발가락의 dorsiflexion, lower leg의 lateral sense, first web space의 sense 저하
② 무혈성 골괴사 (탈구 정복 늦어질수록 발생률 비례하여 증가)
(5) 후방탈구 도수 정복 방법
* 모든 방법에서 회전을 가할 때는 힘을 가하지 않고 부드럽게 시행해야 함 (강한 힘은 spiral femoral shaft fracture 유발 가능)
① Allis maneuver (m/c)
: 환자 무릎과 고관절을 90°flexion
: 보조자는 anterior-superior iliac spine으로 아랫방향으로 누름
: 시행자는 양 손으로 무릎을 잡고 femur를 당기면서 부드럽게 내회전 시킨다
② Bigelow maneuver
: 환자는 supine 으로 누워 무릎과 hip을 90도로 굽힌다
: 시행자는 팔꿈치를 굽혀 환자의 병변쪽 무릎을 지지, 반대편 손으로는 환자의 발을 잡는다
: 보조자는 anterior superior iliac spines에서 아랫방향으로 힘을 가한다
: 시행자는 굽힌 팔꿈치를 이용하여 환자의 무릎을 위로 들어올려 femur를 traction
: Traction하고 있는 상태에서 hip을 external rotation 및 extension 시킨다
③ Captain Morgan technique - 시술자의 무릎을 지렛점으로 하는 방법
: 환자를 supine position 으로 보드에 눕힌 뒤 pelvis를 묶거나 보조자가 iliac crest를 눌러서 pelvis를 stabilization 시킨다
: 수행자의 발을 보드에 대고 수행자의 무릎을 환자의 무릎 뒤에 받친다
: 환자의 무릎을 굴곡 시킨 뒤, 환자의 발목을 잡고 아래쪽으로 부드럽게 당기면서 수행자의 받친 발을 까치발을 들어 환자의 고관절에 윗 방향으로 힘을 준다.
: 위쪽으로 계속 당기는 동안 부드럽게 환자의 고관절을 돌린다.
(6) 도수 정복 후 Management
① Hip 관절의 range of motion, neurovascular exam 다시 확인, 및 x-ray 촬영
② 환자에게 abduction(외전) pillow/brace, hip binder, knee immobilizer 등을 착용시킴
③ 여러 번 정복 시도 실패 시 : Emergency OS consultation, 수술방 reduction
④ 실패 원인 : Occult fracture, incarcerated tendon/capsule
⑤ Post-reduction CT 촬영 : X-ray에서 보이지 않는 acetabular 또는 대퇴골두 골절 감별
G3. 전방 탈구
(1) 드물다, 심한 외전(abduction)으로 대퇴 골두가 anterior capsule을 뚫고 위로 들려 올라가면서 발생
(2) 특징 : 손상 시 발생한 hip flexion의 정도에 따라 상방(pelvic) 또는 하방(obturation) 둘 다 가능
(3) 임상 양상 : 외전, 외회전 발생, 상방이냐 하방이냐에 따라 모습 다름
(4) 동반 손상 : Neurovascular 손상 rare – 발생 시 femoral artery, femoral nerve
(5) 진단 : AP, lateral view
(6) 치료 : 수술방에서 정복 필요
G4. 인공관절 탈구
(1) 원인
① 후방 탈구 - Flexsion, 내전, 내회전
② 전방 탈구 - hip의 과신전 (드물다)
(2) 빈도 : 1~10%, 주로 수술 후 몇 달 내
(3) 치료
① 후방 탈구 (m/c) → Sedation 후 후방 탈구 도수 정복 방법으로 reduction ② 수술 시 사용한 기구와 방법이 다양하므로 reduction 시행 전 정형외과 consult 필요
(4) 합병증
① Sciatic nerve(궁둥 신경) 손상, 인공 관절 손상
② 무혈성 골괴사 : 인공관절 캡슐이라 일어나지 않음 → Time sensitive 하지 않음
H. Special populations and considerations
1.
운동선수 – 대퇴 경부의 stress fracture (m/c)
(1) 주로 육상 선수, 축구 선수
(2) 임상 양상 ① 서서히 발생하는 hip pain → 윤활낭염이나 근육 긴장과 오인 가능 ② 고관절, 사타구니, 허벅지 안쪽, 무릎 통증 호소
(3) 진단 ① 고위험군에서 의심 시 MRI (최대 48시간 내) ② MRI 확인 전까지 운동을 피하고 non-weight-bearing state 유지
1.
고령
(1) 대부분의 고관절 손상은 고령에서 발생
(2) 노인학대 가능성에 대해서도 고려
(3) 진단자체가 삶의 마지막을 의미할 수 있음 : Immobility와 비수술적 치료가 다수의 합병증으로 이어질 수 있음을 강조하고 독립적인 생활이 불가능할 수 있음에 대해 가족과 충분한 상의, 계획을 세워야 함
1.
통증조절
(1) 진통 조절: 거의 모든 고관절 손상 환자에서 필요
(2) Parental narcotics 사용 (금기증 없을 시), Femoral nerve block 고려











