A. Anatomy
A1. Bone - 3 sections
(1) Hindfoot
•
Calcaneus, Talus
•
Chopart‘s joint
(2) Midfoot (Lisfranc joint)
•
Navicular, Cuboid, Cuneiform(medial, middle, lateral)
•
Lisfranc‘s joint
(3) Forefoot
•
Metatarsals, Phalanges(proximal, middle, distal)
A2. Blood supply
(1) Dorsal aspect
•
Popliteal a. Anterior → tibial a. → Dorsalis pedis
(2) Sole aspect
•
Posterior tibial a. Peroneal a.
A3. Nerve
(1) Sural n.
(2) Saphenous n.
(3) Peroneal n.
(4) Lateral plantar n
B. Hindfoot injury
B1. Calcaneus Fracture
(1) Clinical features
•
발에서 가장 흔함
•
보통 높은 곳에서 떨어져 2차적으로 발생하며, 골절이 생기려면 상대적으로 강한 힘이 필요
•
동반손상이 흔하므로 Back, Hip, Knee Injury에 대한 검사 필요.
•
Intra-articular fracture > Extra-articular fracture
•
증상 : 부종, 통증, 골절부위 압통, 체중부하 못함 등
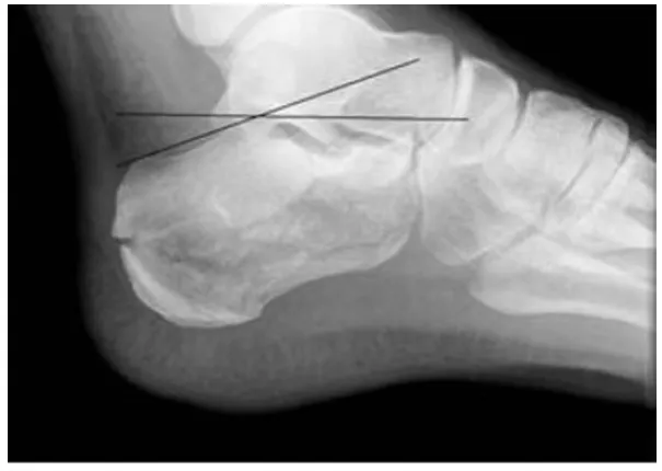
(2) Diagnosis
•
X-ray AP, lat, axial view, CT
•
The Boehler angle
◦
Post. articular surface의 highest point(B)와 Ant. process의 highest point(C)를 잇는 선
◦
Post. articular surface의 highest point(B)와 Calcaneal tuberosity의 most sup. part(A)를
잇는 선
→ ⓧ과 ⓨ가 만나는 각도가 25~40°가 정상. 이 각이 25° 이하면 골절을 의심해야 한다.
(3) Treatment and F/u
•
패딩을 잘한 splint로 Pos고정, 확실한 하지거상, 체중부하 금지, 적절한 진통제
•
Displaced fx. → 즉각적인 OS f/u
B2. Talus fracture
•
Extreme dorsiflexion (Hyperextension), 낙상 등에 의해 생긴다.
•
골절이 multiple로 생기는 경우가 많다.
•
X-ray 상 보이지 않을 경우도 있기 때문에 CT evaluation이 필요할 수 있다.
•
Major fx. 인 경부 골절 및 두부 골절(neck and head)등은 AVN의 빈도가 높으며 응급 수술 필요
•
Dislocation도 Neurovascular compromise가 많아서 응급이다.
C. Midfoot injury
C1. Lisfranc injury
•
저속도의 간접적인 외력, Platarflexion 상태에서 Axial load, 교통사고, 축구
•
2nd metatarsal base fx.는 Lisfranc lig. complex의 disruption을 의미
•
Lisfranc injury의 기전, 진단, 치료에서의 가장 중요한 점은 2nd memtatarsal과 Lisfranc lig.이다.
•
Midfoot torsion test : 발 중간 부위를 비틀었을 때 통증이 발생하면 양성
•
Passive dorsi 및 plantarflexion 시 통증 악화 등에서 의심
(1) X-ray
•
Minimum bilateral weight bearing AP(when tolerable), lateral, 30° oblique
(2) Unstable Lisfranc injury
•
X-ray에서 1st와 2nd metatarsal의 기저부 간격이 1㎜ 이상으로 벌어졌을 때
•
Unstable한 injury는 anatomic reduction해야 한다.
•
Compartment syndrome이 발생할 수 있다.
C2. Navicular injury
•
직접적인 타격이나 axial loading.
•
X-ray 촬영 시 체중 부하 AP, lat, oblique view.
•
Talonavicular joint 진단에는 CT 가장 유용
•
Nondisplaced fx. (비전위 골절) : 6~8주의 Non-wt. bearing short leg cast
•
Displaced fx. → Unstable fx. : 수술적 치료가 필요
•
AVN, nonunion 위험도가 높다.
C3. Cuboid injury
•
Plantarflexion과 abduction이 가장 흔한 mechanism이다.
•
Bilateral Weight-bearing AP, lat., oblique image를 진행한다.
•
Short leg cast와 Non-weight-bearing status가 초기 치료이다.
C4. Cuneiform injury
•
Cuneiform 단독으로 손상을 입는 경우는 매우 드물다.
•
Medial cunieform injury : 수술적 치료 필요
•
Middle and Lat. cuneiform injury : closed reduction으로 충분하다.
D. Forefoot injury
D1. 5th Metatarsal injuries
(1) Pseudo-Jones fracture (Avulsion fx.)
•
4th, 5th metatarsal base 사이의 articulation의 근위부의 tuberosity에 발생하는 Avulsion fx.
•
치료는 walking cast와 통증 조절 및 가능하면 체중 부하를 시도한다
(2) Jones fracture
•
Metaphyseal-diaphyseal junction fracture
•
불유합 및 지연성 유합의 빈도가 높아 6 ~8주 체중부하금지 Cast 필요, 수술 치료 고려
(3) Shaft fracture (Diaphyseal stress fractures)
D2. Metatarsal injury (1st ~ 4th)
(1) Proximal fracture
•
직접적인 타격이나 crush injury에 의해 발생
•
Lisfranc injury가 동반되었는지 감별하는 것이 가장 중요
•
Isolate proximal fx.는 non-wt bearing posterior splint 후 2~3일 후 정형외과 f/u
(2) Shaft fracture
•
직접적인 타격이나 twisting force에 의해 발생
•
Non-displacement : Posterior splint
•
Displacement 3~4mm or angulation > 10 degree : Surgical reduction
(3) Stress injury (March fracture)
•
metatarsal bone에 small crack이 생기는 것
•
Chronic overuse, chronic direct force, 반복적인 스트레스
•
X-ray 상 잘 보이지 않으며 MRI로 진단할 수 있으나 보통 임상적으로 진단한다.
•
Rest 및 immobilization 하면 회복된다.
(4) Metatarsophalangeal injury
•
Turf toe : Foot이 Plantarflection된 상태에서 1st metatrsophalangeal joint이 acute
또는 chronic hyperdosiflexion 되었을 때 발생하는 sprain이다.
② 치료는 휴식, 얼음찜질, elevation이다.
(5) Phalange injury
① Forefoot에 생기는 가장 흔한 골절로 대개 발로 차면서 엄지발가락이 손상됨
② Immobilization : Dynamic splinting (buddy taping) 특히 엄지발가락은 체중의 ⅓을
유지하기 때문에 확실하게 한다.
E. Tendon injury
E1. Extensor hallucis longus tendon injury
•
Great toe의 Dorsiflexion이 안됨.
E2. Tibialis anterior tendon
•
Foot의 Dorsiflexion이 안됨.
→ 위의 두 injury는 정형외과 협진이 필요하며, 잘린 Tendon이 서로 닿으면 repair, 그렇지 않으면 보강이 필요
E3. Flexor hallucis longus injury
•
일반적으로 repair 진행한다.
E4. Flexor tendons of the other toes injury
•
Unrepair 상태로 둔다.
E5. Dislocation of posterior tibial tendon
•
흔하지 않으며 ankle sprain으로 오진되는 경우가 많다.
•
스노우보드나 스케이트를 타다가 발생하는 경우가 많다.
•
치료는 surgical repair이다.











