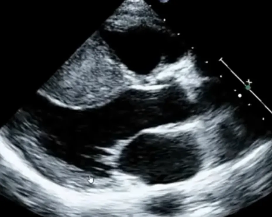
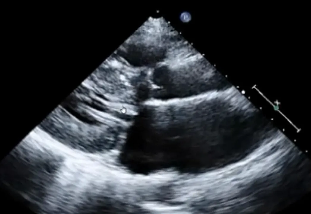
특징
Asymmetric LV hypertrophy
Systolic anterior motion (SAM)
Narrow LVOT
Hyperdynamic LV
치료
Sx. management
Dyna,ic LVOT obstruction
Arrhythmia management
SCD prevention : HCM risk-SCD calculator 사용
심근비대 정도는 예후와 밀접한 관련.
30mm 이상인 경우 돌연사의 위험도가 높다
진단기준
원인을 설명할 수 없는 심근의 비대 15mm이상
좌심실중격/후벽의 두께비율 1:3
SAM in HCMP

