A. Perilunate Injury
: lack of ligamentous support at space of Poirier
Scapholunate dissociation
Perilunate dislocation
Lunate dislocation
•
Ligamentous injury : LUNATE
•
Perilunate dislocation : Scapholunate dissociation
•
Lunate dislocation
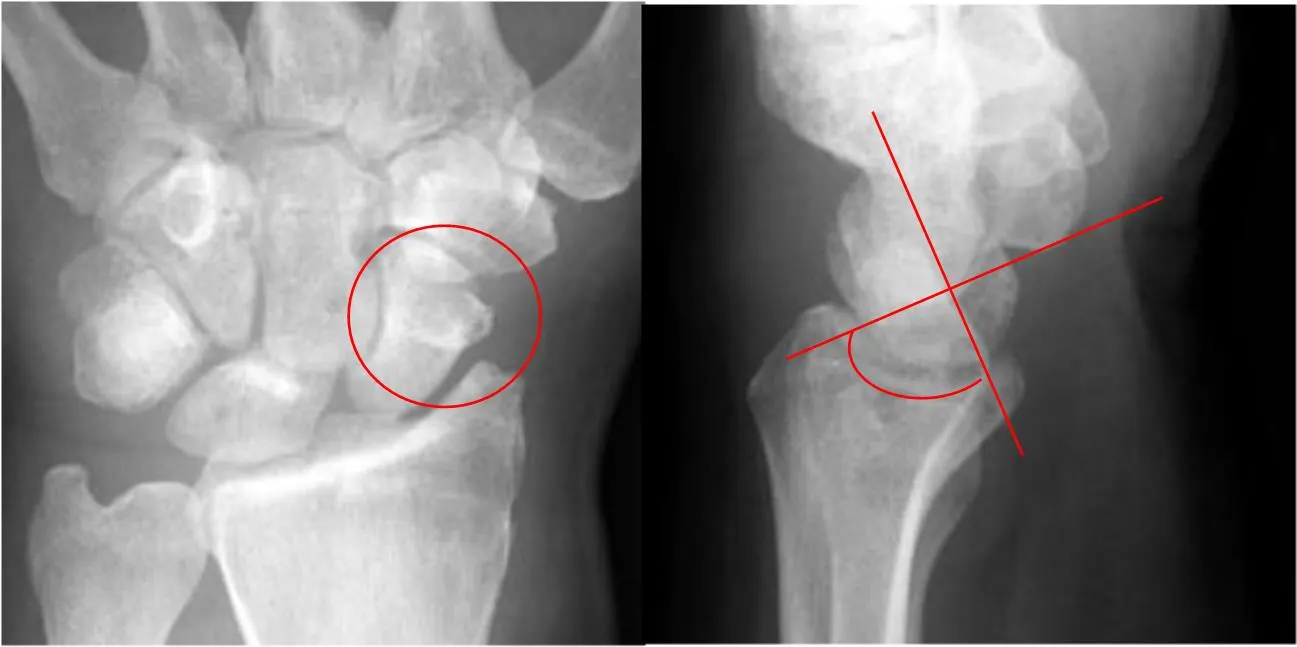
B. Stage I: Scapholunate dissociation
Scapholunate joint space
Wider than 4mm (Terry-Thomas sign)
Clenched-fist view
PA view in ulnar deviation
•
Widening of the scapholunate joint : 3mm in PA view
•
Torn scapholunate ligament causes palmar tilting of scaphoid (rotary subluxation), creating scaphoid ring sign, Terry-thomas sign
C. Rotary subluxation of the scaphoid
D. Perilunate dislocation
•
Forceful dorsiflexion, impact on outstretched hands with great force
•
Posterior dislocation of carpal bone while lunate maintains position with respect to the radius
•
High energy trauma : Fall down, motor vehicle collision
•
Missed 25% of the time
•
Lunate bone remains in the lunate bone fossa
•
Other carpal bones dislocate in relation to the lunate
•
E. Stage IV: Lunate dislocation
Lunate dislocated in volar direction
Abnormal radiolunate articulation
Acute carpal tunnel syndrome via median nerve compression
Acute carpal tunnel syndrome via median nerve compression
F. Scapholunate Advanced Collapse (SLAC)
Late complication
Scaphoid Fx
Scapholunate dissociation
Lunate injury
ED Management
Scapholunate dissociation : Radial gutter splint
Perilunate/lunate dislocation
Emergent OS/hand surgery consultation
Closed reduction
Traction is applied to the wrist as it is extended
Surgeon’s thumb is placed on the lunate volarly to prevent creating a volar lunate dislocation
Wrist is flexed with traction still maintained













