CT without contrast
•
Usually for detecting kidney stones, certain types of internal bleeding (hemorrhage) , bowel obstructions, and fractures
•
Its speed makes it invaluable in emergency medicine
•
Follow-up non-contrast CT abdomen studies are highly accurate in the detection of cancer related findings in patients with an established cancer diagnosis
•
Except in cases where vascular involvement is suspected
•
CT with intravenous (IV) contrast
◦
1st choice diagnostic tool for studying acute abdominal pain
◦
High diagnostic performance (96.8% accuracy)
•
Non-contrast CT
◦
1st choice diagnostic alternative in the context of non-traumatic, acute abdominal pain
◦
For appendicitis, 97% accuracy
Contents
Tips for image setting: better to soft tissue contrast in plain CT
Pre-CT show patient’s general condition (edema, fluid collection, anemia)
Stone disease cases
Bowel disease including inflammation, obstruction
Urinary tract infection
Hemorrhage
Malignancy detection
Foreign body detection
F/U after enhanced CT
Challenge for vessel evaluation
1. Window width, Window level Adjustment
What is patient problem ?
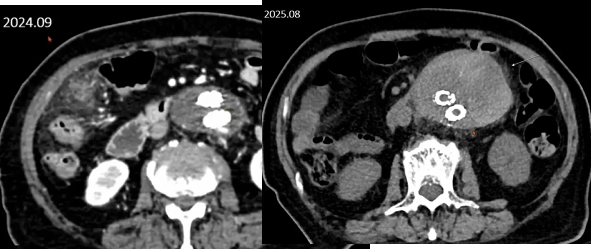
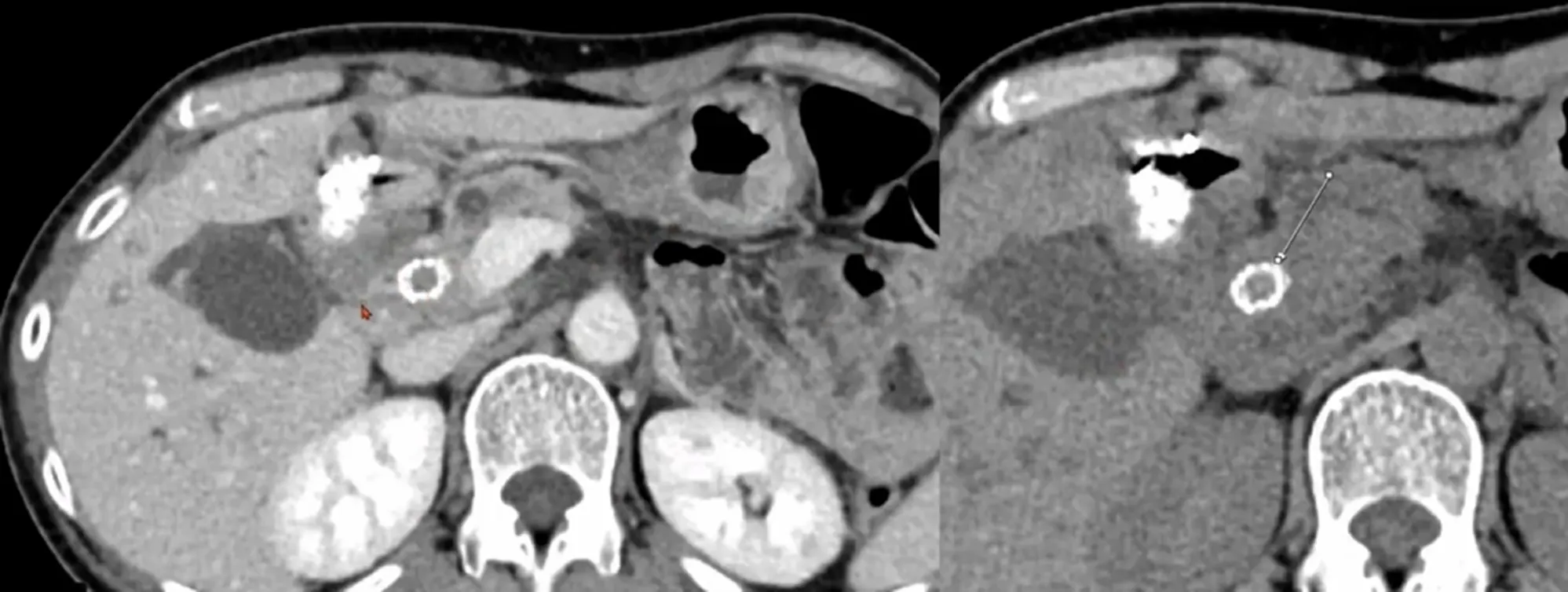
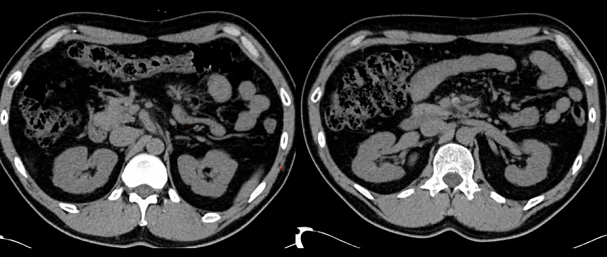
Anemia
Case 3
Case 4: Bowel inflammation, Obstruction
•
F/82
•
C/C: Fever (37.8 ) , dyspnea
•
Hx: HTN, DL, h/o ICH, h/o type A IMH with pericardial effusion Recently, UTI with antibiotics treatment
•
Lab: CRP 2.4mg/dL , WBC 33k
Colitis with specific cause (Pseudomembranous colitis by C.difficile)
Enterocolitis
Case 5: Urinary tract infection
•
M/77
•
C/C: Lt. PCN remove site leakage, no self voiding
•
Hx : bladder cancer s/p Op with neobladder
Case 6
•
M/76
•
C/C: epigastric pain
•
Hx: BPH, CAOD, COPD, HTN, Aortic stenosis s/p AVR
•
Lab
WBC 18k (74.1%) , CRP 0.5
AST/ALT 137/74, T.bil/D.bil 1.7/0.5 ALP/rGT 36/861
GB attenuation 높아보임 - Acute cholecystitis with sludge
Next day: revisit ER
•
C/C : Abdominal pain aggravation , dyspnea
•
Lab
WBC 25k (90.6%) ß 18k (74.1%)
CRP 12.3 mg/dL
Hb 10.9 (4PM) ß 11.5 (1PM) ß 12.9 (9AM) ß 14.7 (1day ago 7AM)
PT(INR) 4.34
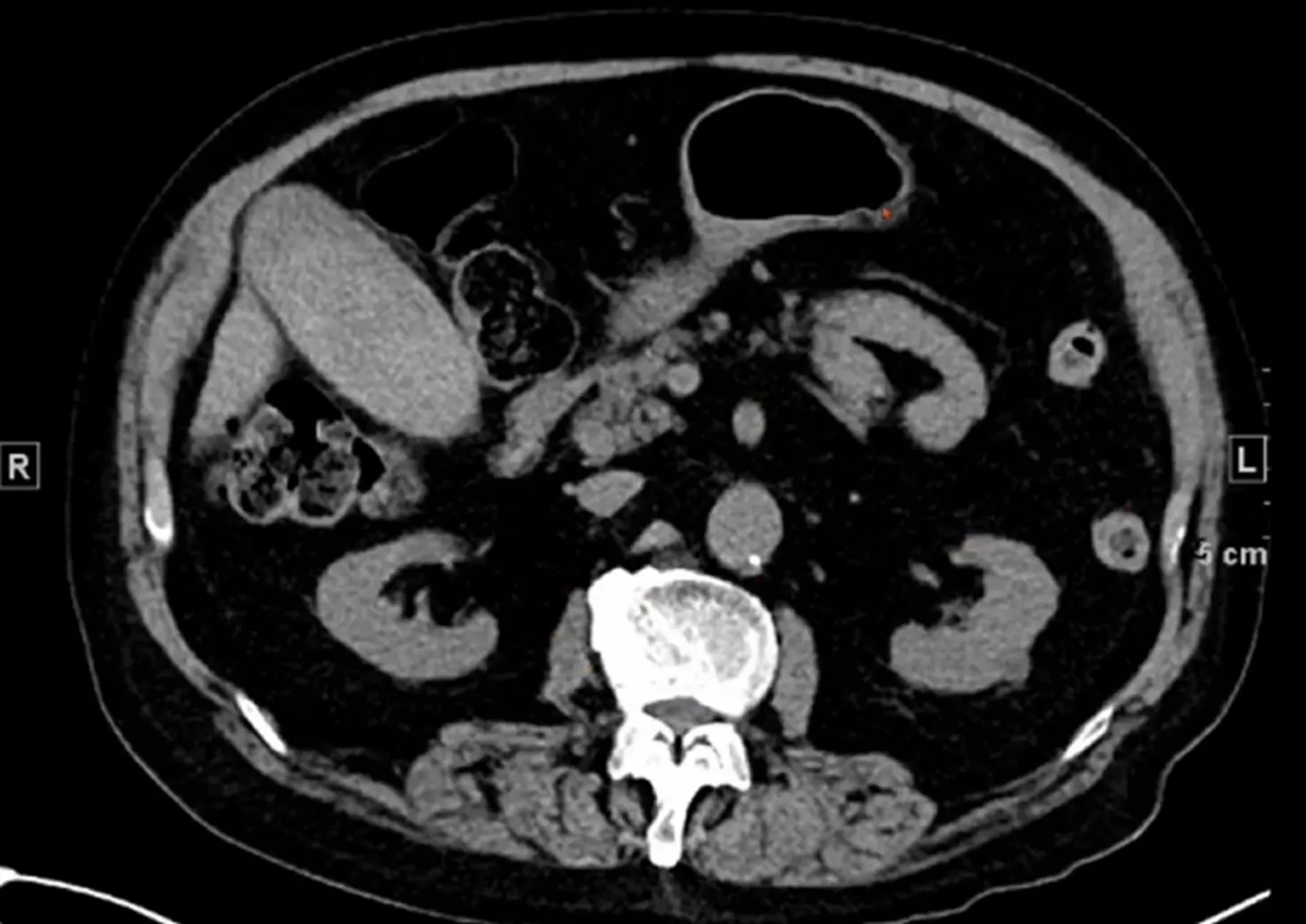
Next day: repeated CT
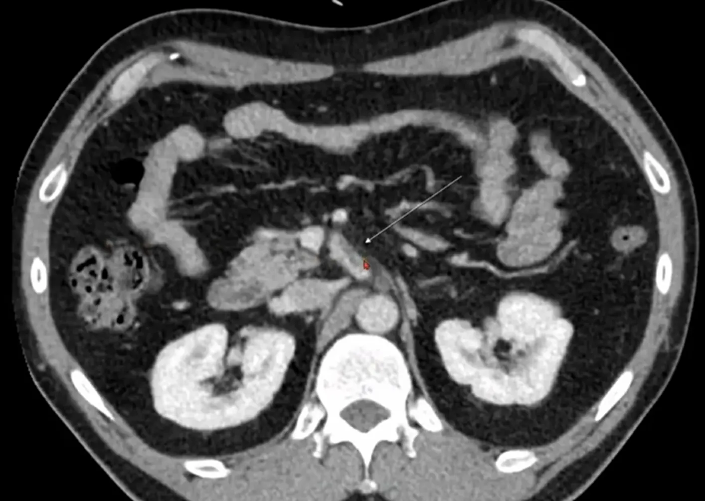
알고 보니 hemobilia 환자
Hemorrhage 가 시간에 따라 attenuation 달라져서 .. Layered pattern
Contrast agent 가 Kidney function 안좋을때 bile excretion 도 함
Hemorrhagic cholecystitis
•
Rare, life-threatening condition that can lead to GB perforation
•
End stage of acalculous cholecystitis
•
Necrosis of the gallbladder wall & pseudoaneurysm formation of the cystic artery
•
Subsequent rupture and acute bleeding into the gallbladder
•
Acknowledged causes: blunt trauma, bleeding tendency, GB malignancy
•
Symptoms easily confused with acute calculous cholecystitis
+hemobilia / hematemesis as blood drains into the GI tract
Biliary stones or impacted sludge may mimic hemobilia and can present a diagnostic pitfall – clinical correlation is necessary
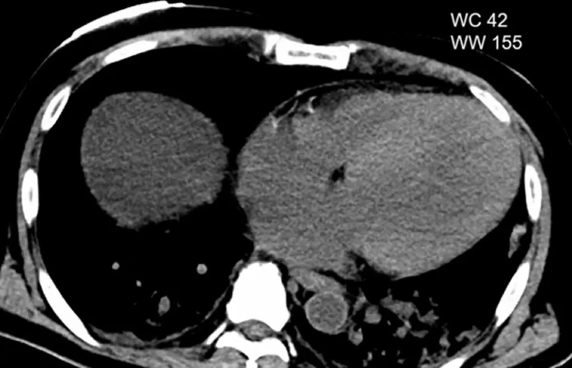
Case 7
•
77/M
•
C/C: fever, RUQ pain
•
Hx: thymoma s/p excision
GB cancer with acute cholecystitis
Case 8
•
F/51
•
C/C: LLQ abdominal pain for 7 days
•
Hx: HTN, DM, LC (alcohol, fatty change), ectopic pregnancy s/p Op
•
Refer from outside hospital due to surgery
•
Patient’s Symptom: RLQ pain 1week ago à migration of pain to LLQ two days ago
•
Hx of swallowing of fish bone (?) at 10 days ago
•
Temporary reading: One foreign body at posterior side of distal descending colon with localized peritonitis
Op finding
•
One toothpick at anterior wall of descending colon with penetration
•
Another toothpick at posterior wall of descending colon with penetration to retroperitoneum
•
Closure of micro-perforated descending colon
•
Toothpicks and cocktail sticks have the greatest propensity for migrating into any of the adjacent organs leading to fistulation and abscess formation
•
Toothpick can be difficult to perceive on CT, depending on the type of wood
•
Repeat non-contrast CT study will improve the diagnostic confidence
•
Multiplanar, three-dimensional reconstructions often be useful
Case 9
•
F/87 C/C: hematemesis
•
Hx: HTN, DM, Asthma, h/o MI, A.fib
•
Lab : WBC 30k , Hb 7.9 , CRP 6.9 , INR 1.7
•
EGD
Acute hemorrhagic gastritis, no current bleeding
R/O gastric angiodysplasia, body
•
Aggravation of abdominal pain ⇒ F/U with non-contrast CT
Uterus rupture
Uterine rupture by inflammation
•
Etiology
◦
Trauma
◦
Genetic disorder associated with uterine wall weakness
◦
Prolonged induction or augmentation of labor
◦
Overstretching of the uterine wall (multiple gestation pregnancy, uterine anomalies ..)
•
Spontaneous rupture of pyometra causing peritonitis in elderly female
◦
Misdiagnoses are common , most frequent preoperative diagnosis is generalized peritonitis secondary to GI perforation
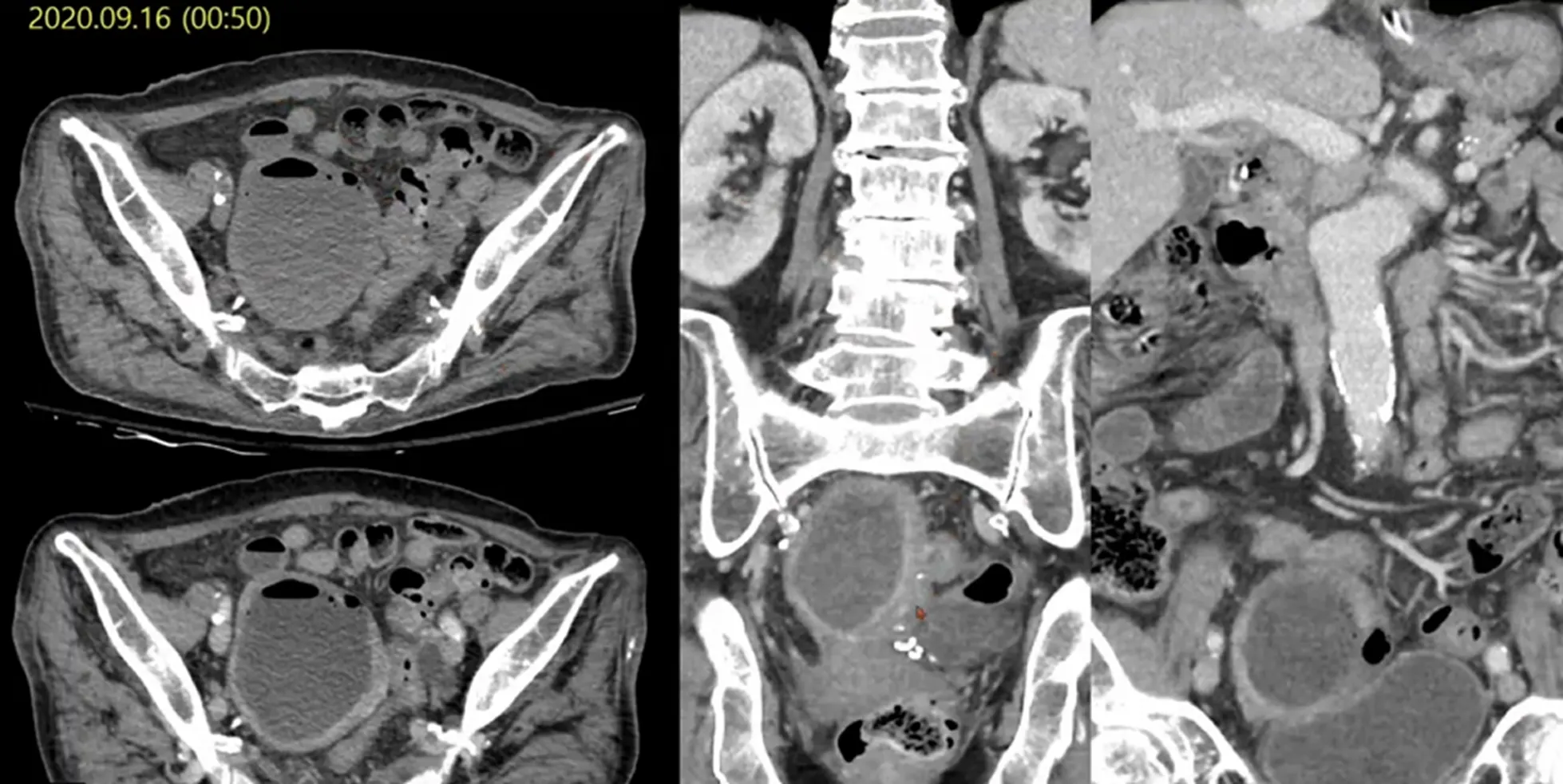
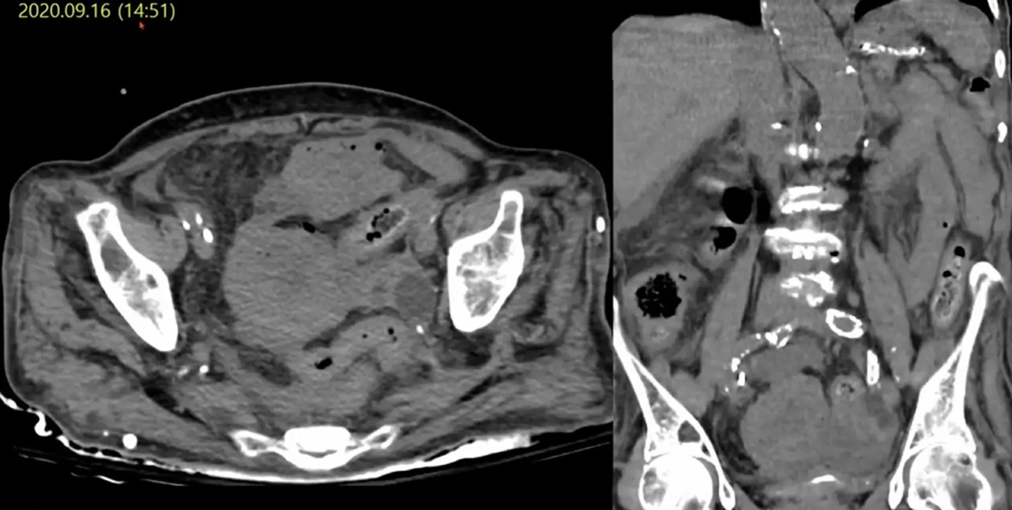
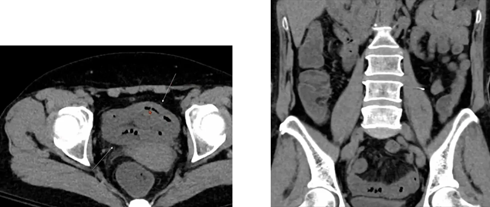
Case 10-1
•
M/94
•
C/C: abdominal pain
•
Hx : sigmoid colon cancer s/p anterior resection , AAA s/p EVAR, s/p PTGBD insertion
•
Lab: CRP 14.9mg/dL, Hb 9.6g/dL
Contained rupture
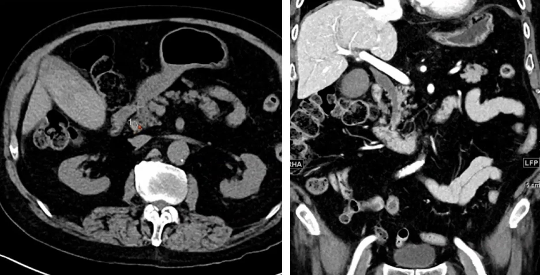
Case 10-2
•
M/43
•
C/C: Abdominal pain, aggravation
•
Hx : h/o ureter stone
•
Lab: within normal limit
Take home message
1.
Master normal anatomy, normal findings
2.
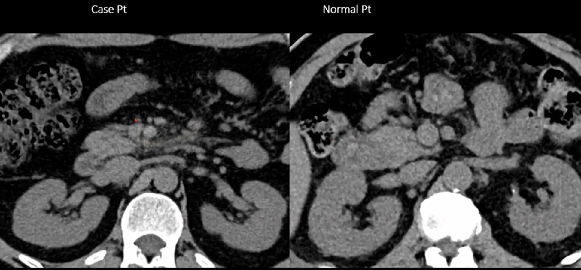
Compared with other part of body (Asymmetry 확인)
3.
Compared with previous image
4.
Compared with another Patient
5.
Most important clue is clinical setting
6.
You can find mor clues as much as you know (아는 만큼 많이 보인다)















