1.
원인
(1) 직접전파 (2) 외상 (3) 신경외과적 수술
2.
임상 양상
(1) HA(m/c) (2) Fever (3) Mental change
(4) 국소 신경학적 증상(<25%) (5) Seizure
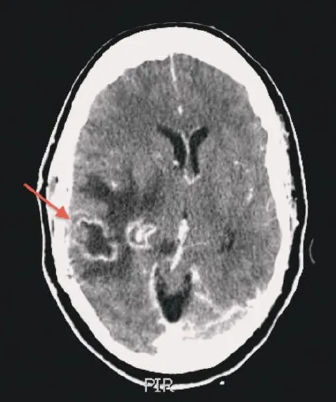
3.
진단
(1) Contrast CT – 조영증강된 ring shape 외피, 안으로 low density, 주변 brain의 edema
(2) LP : 신경학적 증상 발생 시, herniation위험으로 권장되지 않음.
4.
치료
(1) Early antibiotic therapy (3rd cephalosporin + metronidazole)가 중요
(2) 수술 고려하여 NS consult 필수적.
(3) 수술 없이 IV anti alone을 고려할 수 있는 경우 : 크기<2.5cm & GCS >12
