차례대로 읽으면서 공부하면 됩니다.
별도로 해설이 필요한 부분은 (해설) 표시 후 기록하거나 메모에 기록하였습니다
A. CT 기초 물리학
•
1972년에 처음으로 Hounsfield 와 Ambrose에 의해 CT가 임상에 사용되었음
•
최초 CT는 Single slice, single detector 를 사용했음. (Slice, detector 개념은 아래에 설명)
A1. Channel / Slice / Detector 의 개념
(해설) CT 에 대해 이야기할 때 빠질 수 없는 용어 세 가지에 대해 알아봅시다
(1) Detector (검출기)
•
X-선이 인체를 통과한 후 얼마나 흡수되었는지를 측정하여 디지털 정보로 변환하는 장치.
이 정보가 컴퓨터로 전송되어 인체의 단면 영상을 재구성하는 데 사용됨
•
Multi-detector CT (MDCT)는 여러 개의 Detector에 동시에 X-선을 쪼이고 그 데이터를 받아 여러 개의 슬라이스를 동시에 촬영한다.
(2) Channel (채널)
•
검출기 (detector)가 얼마나 많이 배치되어 있는지 나타내는 것으로, 채널 수가 많을수록 동시에 더 많은 단면영상을 얻을 수 있음.
(3) Slice (슬라이스)
•
인체를 가로로 자른 단면의 두께를 의미. Slice의 두께가 얇을수록 더 정밀한 3차원 영상을 얻을 수 있다.
•
Detector의 채널 수가 많을수록 더 많은 슬라이스를 한 번에 얻을 수 있고, 이는 촬영 시간 단축과 고해상도 영상 구현에 기여함.
•
오늘날의 CT는 Multiple slice, multiple detector array (channel) 를 사용하고 있다.
현재 320 channels MDCT 까지 기술발전이 이뤄졌다.
A2. Hounsfield Unit (HU, CT No.)
•
HU : 픽셀 내 X선 감쇠 계수의 물에 대한 상대적인 비율. CT 넘버(CT number) 라고도 함
•
CT 영상에서 보이는 밝기(Density) 를 정량적 측정값으로 표현한 것.
•
서로 다른 조직은 특징적인 HU 범위를 가지며, 이를 통해 신체 내 각 조직을 구별할 수 있음
•
Brain CT에서 대표적 HU
◦
Air : -1000
◦
Fat : -30 ~ -100
◦
Water : 0
◦
White matter : 23 ~34
◦
Gray matter : 56 ~76
◦
Bone : 300 ~ 2000
•
HU of blood & FB
◦
Dry Wood : -100 ~ -400
◦
Plastics (Polystyrene) : -35 ~ -60
◦
Unclotted blood : 13~50
◦
Clotted blood: 50~75
◦
Polyethylene(Medpor) 19 ~ 53
◦
Absorbable Plate (Polylactic acid, PLA) 100~600
◦
Silicone: 150~400
◦
Glass: 400~1400
◦
Stone: 1000~1500
◦
Steel: 2000~3000
대나무 막대기 (dry wood) 의 X-ray와 CT영상. dry wood는 HU 가 -100~-400 범위라 매우 검게 보인다.
A3. Windowing
(1) Window width
(해설) CT는 흑백화면이므로, 어두운 정도 (명암) 로 각 부분을 표현합니다. CT에서 가장 어두운 부위는 공기로 HU -1000 값을 가지며, 가장 밝은 부분은 뼈로서 최대 +1000 HU 입니다. 아래 그림은서 각 조직 별 HU 수치 범위를 보여주고 있습니다.
그림에서 edema와 white matter 의 HU 범위를 한 번 봅시다. 부종이 있는 뇌조직과 white matter는 서로 다른 조직이지만 나타내는 명암도는 서로 겹치는 부분이 있습니다.
하나의 CT영상에서 -1000 부터 +1000까지 모든 부위를 다 보여주려하면 아래 그림의 아래쪽 막대기 (그레이스케일) 에 가깝게 되는데, 그러면 각 같은 명암을 보이는 부분이 넓어져서, edema나 white matter같이 HU 값이 유사하거나 겹치는 조직은 구별이 어렵게 됩니다.
이렇게 CT에서 표현되는 명암범위의 너비 (그레이스케일의 너비)를 width라고 부릅니다.
구별하려는 조직의 특성에 따라 width 값을 조절해야 합니다.
(2) Window level (center)
(해설) Level은 아래 그림에서 그레이스케일의 중심. 즉 midgrey의 위치를 나타냅니다. blood를 제외하면 brain 내 조직은 대부분 0에서 55 HU 정도에 몰려있는 것을 알 수 있습니다. 따라서 뇌조직을 감별하기 위해서는 midgray를 0~55의 중간인 35정도에 두고 width도 좁게 잡아서 같은 명암을 나타내는 부분을 작게 만들어 비슷한 HU 을 보이는 조직을 구별하기 쉽게 해야 합니다 (Brain setting).
(해설) 위 그림에서 위쪽 그레이스케일을 한 번 봅시다. 이 그레이스케일의 width는 0~70 HU 까지입니다. 그 말인 즉, HU 70 이상의 값을 나타내는 조직이나 물질은 모두 백색으로 보인다는 뜻입니다. 그런데 급성 뇌출혈에 의한 혈종은 HU 값이 80~200 사이입니다. 그리고 뼈나 석회화된 조직은 110~1000 HU 이죠. 그러면 이 세팅으로는 혈종과 뼈, 석회화 조직이 모두 같은 흰색으로 보이게 되어 구별이 안 됩니다. 그래서 이를 위해서는 width도 넓히고 midgray도 좀 더 우측으로 이동시켜 뼈와 혈종의 구분이 쉽게 해야 합니다. 하지만 이런 세팅에서는 뇌 조직내의 부종, CSF, Gray matter나 white matter는 구별하기 어려워집니다(subdural setting). 또한 두개골 골절을 감별하기 위해서는 level은 200~1000 사이로 끌어올리고 width도 매우 좁게 만들어야 합니다. 이러면 bone을 제외한 부분은 모두 같은 검은색으로만 나타나게 됩니다 (bone setting)
하나의 width, level 세팅으로 모든 뇌조직과 이상 부분을 감별할 수는 없으므로, 세팅값에 변화를 주어가며 판독을 하게 됩니다.
아래 그림은 width와 level 과 Gray scale 과의 관계를 다시 한 번 이해하기 쉽게 보여주고 있습니다.
(3) Window Setting 조절 예
(해설) 아래 그림은 SDH 사례입니다. 왼쪽그림은 brain setting인데, 뇌 내 조직은 잘 구별되지만 우측 측두골에 인접하여 있는 출혈은 이 세팅에서는 뼈와 같은 정도의 흰색으로 보여 구별이 안 됩니다. 오른쪽 그림은 subdural setting입니다. 뇌 내 조직들은 각 부분을 구별하기 어려워졌지만 뼈와 혈종은 이제 밝기가 구분이 됩니다.
(해설) 한편 뇌출혈도 시간경과에 따라 CT에서 영상이 변화합니다. 급성일때는 혈액이 응고가 되어 혈종이라는 반고체 형태로 있기 때문에 밀도가 높아 상대적으로 높은 HU 값을 나타내지만, 시간이 지나면서 응고된 혈액 내 피브린이 분해되면서 점차 2주~1달 쯤에는 뇌조직과 유사한 밝기로가까워지고 약 1.5~2개월 정도에는 CSF 에 가까운 어두운 밝기로 보이게 됩니다.
(4) Window Setting
(해설) 각 세팅 별 Level 과 width 입니다. 보통 이 세 세팅을 사용하여 Brain CT (Pre) 판독을 합니다.
•
Brain Setting : Level 25~35, Width 70~80
•
Subdural Setting : Level 25~35, Width 200~250
•
Bone Setting : Level 500~1000, Width 1000~2000
A4. CT와 MRI 의 차이
MRI의 성능이 매우 상승하면서 상대적으로 Brain CT 가치를 평가 절하하는 시각도 있습니다만, 아직 Brain MRI에 비교해서 Brain CT는 아래와 같은 장점이 있습니다.
(1) 촬영 시간이 빠르다 (routine/perfusion/CTA)
•
MRI보다 촬영시간도 짧고
•
Perfusion CT를 촬영하면 infarction 발생 30분 내의 초급성 뇌경색도 detection 이 가능하며, ichemia가 발생한 부위까지 확인이 가능하다
(2) More accurate in localization
•
좀 더 정확히 국소 부위 타겟팅이 가능해서, RT나 Biopsy를 위해 stereotactic image를 얻을 때 CT를 사용한다.
(3) more sensitive to calcification
A5. CT 에서 보이는 병변에 대한 표현
(해설) CT에서는 밝고 어두움을 “Density”표현한다. 반면 MRI에서는 “signal intensiy”라는 용어를 사용한다.
MRI에서 보이는 병변에 대해 density라고 표현하지 않도록 주의한다.
B. 올바른 CT 촬영
- Skull Base에 평행하게
- 좌우 Tilting 없어야 함
C. Brain CT 의 Cross-sectional anatomy
(해설) Brain CT의 각 Level 별로 보이는 구조물입니다.
C1. Infratentorial Sections
(1) Below the fourth ventricle
이 단면에서 전두개와(anterior fossa)와 중두개와(middle fossa)의 대부분 구조물은 두개저(skull base)와 안와(orbits)의 구성요소입니다. 중두개와에서 난원공(foramen ovale)과 극공(foramen spinosum)을 CT 스캔의 넓은 윈도우 설정으로 확인할 수 있습니다. 이 구멍들을 통해 각각 삼차신경(fifth cranial nerve)의 세 번째 분지와 중경막동맥(middle meningeal artery)이 지나갑니다. 소뇌반구(cerebellar hemispheres)는 연수(medulla)의 측면에서 볼 수 있습니다. MRI 검사에서는 뇌신경 IX와 X가 이 수준에서 확인될 수 있는데, 이들이 후올리브고랑(postolivary sulcus)에서 나오기 때문입니다. 소뇌반구의 후방 부분은 대조(cisterna magna)의 하부에 의해 윤곽이 그려집니다.
(2) Fourth ventricular level
제4뇌실 앞쪽에 하부 뇌교(lower pons)가 보이며, 중소뇌각(middle cerebellar peduncles)을 통해 소뇌 반구와 연결됩니다. 교뇌는 뇌척수액(CSF)으로 윤곽이 그려지며, 전방 및 측방 교뇌조(anterior and lateral pontine cisterns)가 있습니다. 교뇌 앞쪽에는 기저동맥(basilar artery)이 나타나며, 일반 MRI에서는 신호 소실(signal void)로 보입니다. 후방으로는 제4뇌실이 정중선의 소뇌소절(cerebellar nodulus)과 측면의 소뇌 반구에 의해 윤곽이 그려집니다. MRI 검사에서는 소뇌교각(CPA)에서 제7, 제8 뇌신경을 확인할 수 있습니다.
(3) Above the fourth ventricle
중심부에는 midbrain가 suprasellar cistern, ambient cistern, 그리고 quadrigeminal cistern에 의해 윤곽이 그려져 나타납니다. suprasellar cistern에는 ICA, ACA과 MCA, optic chiasm, infundibulum, mammillary bodies, 그리고 basilar artery의 상부가 포함되어 있습니다. 중뇌의 측면에는 측두엽(temporal lobes)이 있으며, 여기서 구상돌기(uncus), 편도핵(amygdaloid nucleus), 그리고 해마형성체(hippocampal formation)를 확인할 수 있습니다. 측두각(temporal horn)은 이 수준에서 측두엽 중간에서 볼 수 있습니다. 전두개와(anterior fossa)에서는 전두엽(frontal lobes)이 실비우스열(sylvian fissure)에 의해 측두엽과 분리됩니다. 전두엽의 가장 하부가 이 수준에서 보입니다. 후두개와(posterior fossa)에서는 실비우스수도(aqueduct of Sylvius)가 중뇌 뒤쪽에 존재합니다. 소뇌의 상부 표면(superior cerebellar surface)이 보이며, 두 반구가 상부 소뇌충부(superior vermis)에 의해 분리됩니다.
C2. Supratentorial Sections
(1) Third ventricular level
전두엽(frontal lobes)은 내측의 대뇌반구간열(interhemispheric fissure)에 의해 분리되어 보입니다. 표층부에서 실비우스열(sylvian fissures)이 내측으로 연장되어 전두엽을 측두엽(temporal lobe)과 분리합니다. 실비우스열의 내측 표면 안쪽으로 섬피질(insular cortex), 외피막(external capsule), 피각(putamen), 그리고 창백핵(globus pallidus)을 확인할 수 있습니다. 정중선의 제3뇌실(third ventricle)은 측면의 시상(thalamus)에 둘러싸인 틈새 같은 공간으로 보입니다. 제3뇌실 뒤쪽으로 내대뇌정맥(internal cerebral vein), 대대뇌정맥(great vein of Galen), 그리고 소뇌충부(cerebellar vermis)를 볼 수 있습니다. 때때로 제3뇌실 뒤쪽의 송과체(pineal gland)가 이 수준에서 보입니다. 가끔 송과체 석회화 앞쪽에 고삐핵(habenula)의 석회화가 나타나기도 합니다. 측뇌실(lateral ventricle) 내에서 가장 흔하게 석회화되는 맥락얼기(choroid plexus)를 확인할 수 있습니다. 후방으로 후두엽(occipital lobes)이 보입니다.
(2) Low ventricular level
전두엽(frontal lobes)의 가장 상부가 보입니다. 전각(frontal horns)의 상부는 측면으로 미상핵두부(head of the caudate nuclei)에 의해 윤곽이 그려집니다. 전방으로 전각은 뇌량팽대(genu of the corpus callosum)의 함입에 의해 형성됩니다. 뇌량(corpus callosum)은 대상회구(cingulate sulcus)에 의해 대상회(cingulate gyrus)와 분리되어 보입니다. 후방으로 후각(occipital horns)은 뇌량팽(splenium of the corpus callosum)에 의해 함입됩니다. 측뇌실(lateral ventricle) 내에서 맥락얼기(choroid plexus)가 MRI에서 확인될 수 있습니다. 뇌량팽 뒤쪽으로 직정맥동(straight sinus)이 일반 MRI에서 신호 소실(signal void)로 나타납니다.
(3) Midventricular level
sylvian fissure의 상부 연장과 superior temporal gyrus가 보입니다. central sulcus는 temporal lobe을 parietal lobe과 분리합니다. frontal horns의 가장 상부는 caudate nuclei의 가장 상부에 의해 측면으로 함입됩니다. occipital horns의 후내측 부분은 corpus callosum의 splenium의 white matter fibers에 의해 둘러싸여 보입니다. cingulate sulcus의 후방 부분은 cingulate gyrus를 occipital lobe과 분리하며, posterior interhemispheric fissure로 연결되는 것을 볼 수 있습니다.
(4) Above the ventricular level
이 단면은 주로 frontal lobe, parietal lobe, 그리고 occipital lobe의 일부를 포함합니다. superior frontal sulcus는 superior frontal gyrus를 middle frontal gyrus와 분리하며, interhemispheric fissure와 평행하게 잘 묘사됩니다. precentral, central, postcentral sulci를 포함한 세 개의 평행한 sulci가 이 수준에서 잘 시각화됩니다. central sulcus는 스캔의 중간 부분에서 확인할 수 있습니다. precentral과 postcentral sulci는 motor와 sensory cortices의 윤곽을 그립니다. interhemispheric fissure는 전체 길이에 걸쳐 볼 수 있으며, 그 사이에 falx가 있습니다. interhemispheric fissure의 측면으로 거대한 white matter인 centrum semiovale이 잘 나타납니다.
C3. 자주 혼동하는 Anatomy
(해설) Brain은 여러 개의 Lobe 으로 나뉘는데, CT에서 각 Lobe을 혼동하기 쉽습니다.
먼저 Frontal Lobe과 Parietal Lobe의 경계는 Central sulcus 입니다. Central sulcus는 다른 sulcus와는 달리 brain 바깥쪽에서 안쪽으로 깊숙하게 들어옵니다. Brain 위쪽 Level로 올라갈 수로 앞쪽 대부분이 Frontal Lobe에 해당됩니다.
(해설) Prooccipital notch는 Temporla lobe과 occipital lobe의 경계가 됩니다.
한편 internal capsule의 posterior limb을 경계로 BG와 Thalamus가 나뉩니다.
그리고 Parieto-occipital sulcus를 경계로 Parietal lobe과 occipital lobe이 나뉩니다
D. Brain CT에서 나타나는 정상적인 artifact들
(해설) Brain CT에서는 정상적으로 여러 artifact들이 나타납니다.
D1. Beam hardening artifacts
Beam hardening은 CT artifact로, X-ray beam이 환자를 통과하면서 lower-energy X-rays가 더 쉽게 흡수되어 평균 에너지가 증가하면서 "harder"해지는 것이 원인입니다. 이는 부정확한 image data로 이어지며, dense structures(뼈 같은) 사이의 dark streaks, 물체의 dark center("cupping"), metal implants 주변의 dark halo 또는 "blooming"으로 나타날 수 있습니다. 이 artifact는 beam의 초기 에너지를 증가시키거나, pre-hardening filters를 사용하거나, iterative reconstruction algorithms를 사용하거나, dual-energy CT techniques를 사용하여 해결됩니다.
왼쪽그림 화살표: brain stem부분이 시커멓게 보인다.
오른쪽그림 화살표 : 검은 줄무늬무늬로 artifact가 보인다
D2. motion artifacts / partial volume artifacts
(1) motion artifact
•
말 그대로 촬영 시 환자가 움직여서 발생한 artifacts오
왼쪽그림: motion artifacts, 오른쪽 그림 : Partial volume artifacts
(2) Partial volume artifacts
•
CT 영상은 일정한 두께의 단면으로 촬영되는데, 이 단면 내에 두 개 이상의 서로 다른 조직(예: 회백질, 뇌척수액, 뼈 등)이 포함되면 CT 수치가 각각의 조직 특성을 정확히 반영하지 못하고 평균 값으로 나타나게 됩니다.
•
대표적으로 기관, 혈관, 경계부(inferior petrosal sinus, 뇌실 경계 등)에서 실제 조직 경계가 흐려져 병변 구분이나 해부학적 구조 해석이 어려워질 수 있습니다.
•
작은 병변이나 미세 출혈, 뇌실 경계 등의 명확한 해석에 악영향을 주어 진단 오류를 야기할 수 있습니다.
D3. Normal calcifications
(해설) Brain CT에서는 정상적으로 calcification이 나타나는 부위가 있습니다. 자주 보이는 부분은 아래와 같습니다. 출혈로 오인해서는 안 됩니다. HU을 측정해보면 500 이상으로 나오므로 감별하기 어렵지는 않습니다.
D4. Jugular Tubercle
(해설) 이 부위는 Skull base에서 bone이 튀어나와 있는 부분인데, CT 슬라이스가 이 구조물의 일부를 cut 하면 출혈과 헷갈릴 수 있습니다.
E. Brain CT 판독
•
Midline 을 기준으로 좌우를 비교하여, 뭔가 다른 점이 있다면 이상이 있을 가능성이 있습니다.
(해설) 아래 CT에서 Rt frontal lobe에 sulcus가 잘 보이지 않습니다. MRI에서 이 환자는 드문 normal variation으로 결론났지만, 보통의 경우라면 SAH를 의심해야 합니다.
•
midline이 shifting 되지 않았는가 확인합니다.
•
각 slice별로 보여야 할 anatomical landmark 들이 정상적으로 보이는 지 확인합니다.
: Brain Tissue, CSF space, Skull and soft tissue 등
•
Widow witdth, Level을 바꿔가며 관찰합니다.
Subdural window - skull에 가까운 혈종
Bone window - skull, orbits and sinuses, intracranial air
E1. 외상에서 찾아야 할 소견
두부 외상환자에서는Brain CT에서 아래의 소견이 보이는 지를 중점적으로 살펴봐야 합니다.
•
Extra-Axial Blood : SDH, SAH, EDH
•
Intraparenchymal Blood : Hemorrhagic contusion
•
Midline Shift
•
Ventricle Compressed/enlarged
•
Scalp Swelling
•
Fractures
•
Penumocephalus
•
Craniofacial Sinus의 이상 (혈액고임, 골절)
E2. 뇌출혈
(1) EDH, SDH
(해설) 뇌를 싸고 있는 막을 Dura 라고 하는데, 이것을 기준으로 Dura의 바깥쪽에 생기는 혈종을 EDH, 안쪽에 생기는 혈종을 SDH라고 부릅니다.
그 외에도 뇌 실질 내에 생기는 출혈은 ICH, 거미막 아래에 생긴 출혈은 SAH라고 부릅니다.
(해설) Dura는 좌우반구 사이(interhemispheric fissure)까지 연장되어, 좌측과 우측으로 명확하게 경계가 나뉩니다 따라서 Dura의 아래쪽에 발생하는 SDH는 반대쪽 대뇌반쪽으로 넘어가지 않습니다. 그리고 모양도 초승달 모양처럼 보입니다.
반대로 Dura의 밖에 발생하는 EDH는 midline을 넘어 반대쪽 대뇌반구쪽으로 걸쳐있을 수도 있습니다. 그리고 EDH는 대개 볼록렌즈모양처럼 보입니다.
(해설) 아래 사진은 SDH 중에서 falx의 출혈 사진입니다. Rt fronto temporal 로 thin SDH가 보이는데, Falx 도 두꺼워져 보이면서 가운데 확대사진을 보면 경계가 울퉁불퉁해 보입니다. 이러면 출혈 가능성이 높습니다. 반면 가장 오른쪽 사진처럼 falx의 density가 올라갔지만 두께는 더 얇아지고 경계가 매끈하다면, 정상일 가능성이 높습니다. falx에는 정상적으로도 calcification이 잘 됩니다. 하지만 완전한 감별은 어려우므로 f/u을 하는 게 좋습니다.
좌측: Rt frontal SDH가 interhemispheric fissure까지 연장된 사진
중간: Falx 앞쪽이 두껍고 경계가 울퉁불퉁함 → SDH로 보임
우측: 같은 환자의 더 윗 레벨. falx density는 더 올라갔으나 경계가 매끈하고 두께가 얇음. 정상추정
(해설) subtentorial SDH는 우측 상단그림처럼 양이 많은 경우라면 발견이 쉽지만 적은 경우는 애매한 경우가 있습니다, 가능성이 있다고 판단되면 F/U CT 촬영을 해 보면 됩니다.
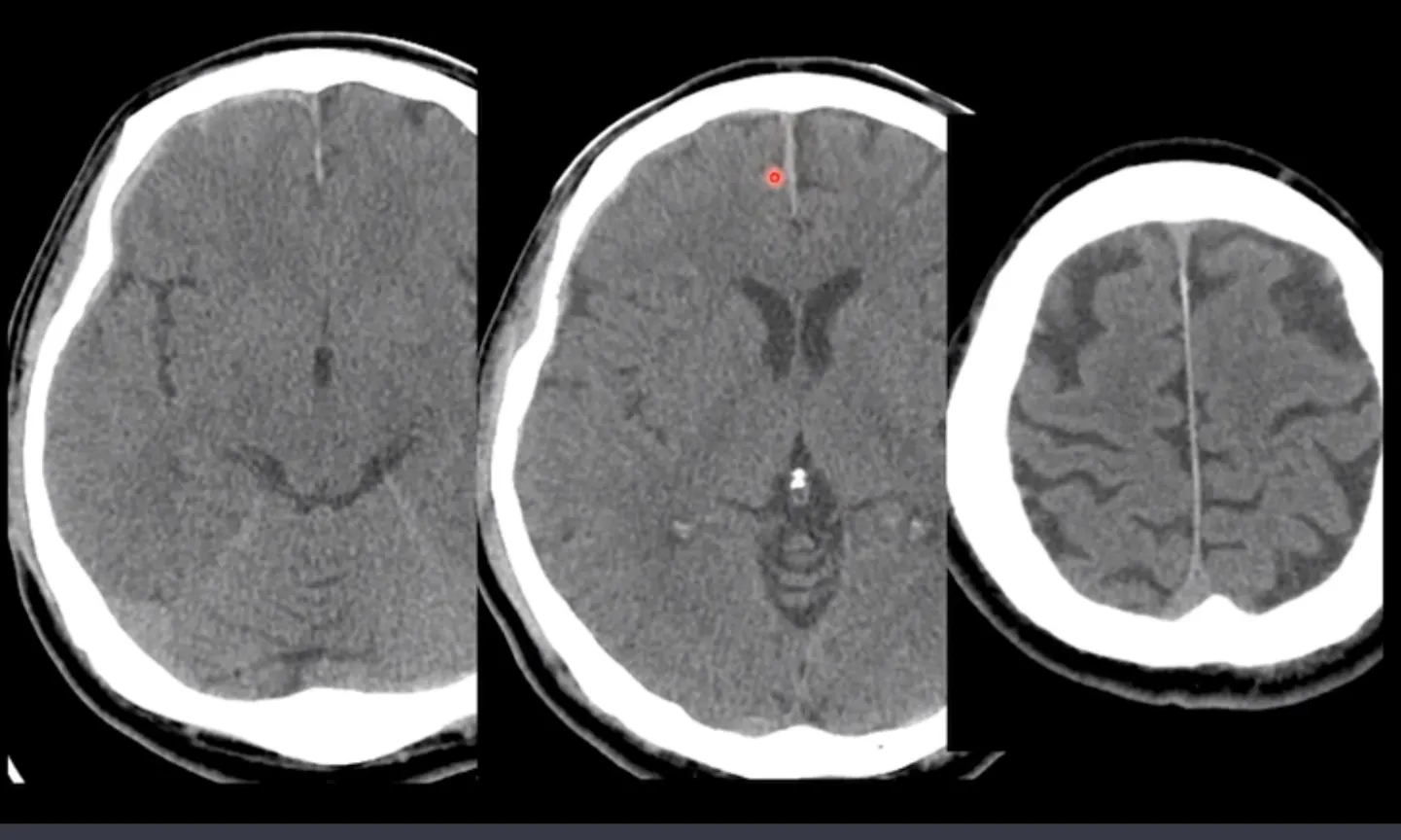
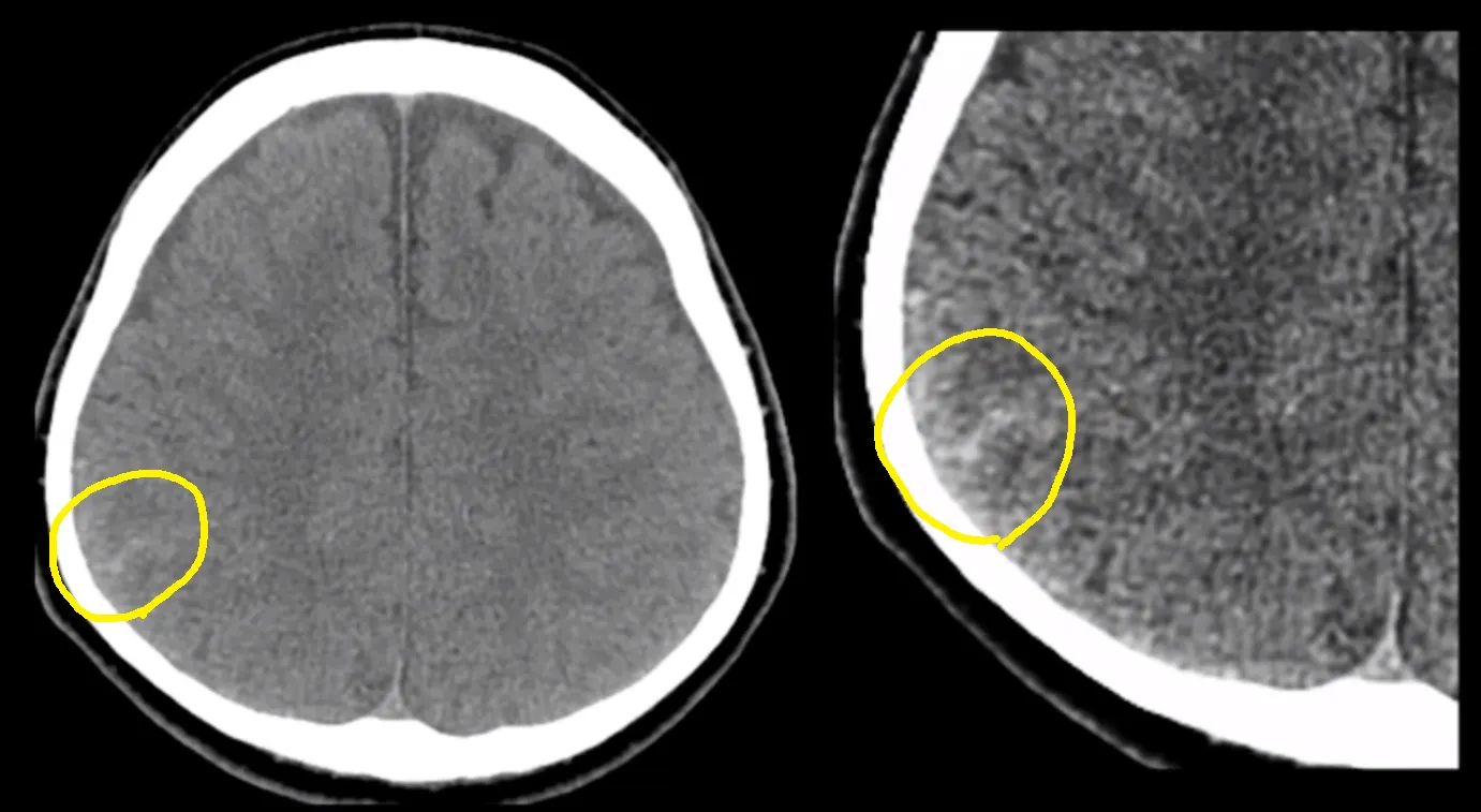
(2) SAH
(해설) Subarachnoid space는 CSF가 차 있는 공간이라, CT에서 density가 낮아 어둡게 보이는 것이 정상입니다. 이 공간에 급성 출혈이 발생하여 혈종이 차게 되면 검게 보여야 할 부분이 밝아 보이게 됩니다.
외상성 SAH는 spontaneous bleeind에 비해 출혈량이 적은 경우도 많아 판독에 주의를 요합니다.
아래 그림과 같이 하나의 sulcus 만 희게 보이는 경우 놓치기가 쉽습니다. 마우스로 window 값을 세밀하게 조정해 가면서 sulcus들을 확인해야 합니다.
minimal traumatic SAH
(해설) SAH의 정도를 나타내는 등급으로는 Fisher grading을 많이 사용합니다. 아래 표와 사진에 Fisher grading 의 각 단계별 정의와 예시가 있습니다.
(해설) 아래 사진은 정상 Basal cistern의 CSF density와 비교했을 때, SAH가 발생했을 경우, 시간에 따라 hemorrage의 density가 어떻게 변해가는 지 보여줍니다. 초기 사진인 1번에서는 basal cistern에 명확한 hyperdense lesion이 보이지만 subacute로 진행하면 (2) density가 떨어지기 시작하고, 좀 더 진행하면 (3) 더 어두워지기 때문에 항상 정상 basal cistern의 어두운 density가 잘 보이는지를 확인해야 합니다.
(3) ICH 의 Volume 측정
(해설) 아래 그림은 ICH가 있을 경우 출혈량을 계산하는 공식입니다. 대개 타원형으로 보이는 혈종이 가장 크게 보이는 컷에서 가로 세로 직경(cm단위)과 몇 개의 CT 컷에서 보이는 지(1컷= 5mm)를 측정하여 cm로 변환한 뒤 아래 계산식에 대입을 하면 대략의 출혈량 (cc) 를 추정할 수 있습니다. 최근에는 AI가 이런 계산을 대신해주고 있으니 참고만 하세요.
(4) Subdural Hygroma
•
Dural membrane의 아래에 blood 없이 CSF만 고여 있는 것.
•
노인에서 Brain strophy로 인해 발생할 수도 있으나, 이전 CT와 비교하여 없던 것이 생겼거나 커진다면 수술이 필요할 수 있음.
•
Hygroma 내에 새롭게 SDH가 동반될 수 있음.
E4. Acute stoke
(해설) 뇌경색이 생기면 CT에서는 정상 뇌실질보다 어둡게 나타나지만, 이런 변화를 보이려면 상당한 시간이 지나야 하기에 CT로 acute infarction을 찾으려 하는 것은 임상적으로 큰 의미가 없습니다.
그러나, 일부 환자에서 명백한 뇌실질 density 저하 이전에 아래의 현상이 나타날 수도 있기에, 이런 현상이 보이지는 않는지 한 번 살펴볼 필요는 있습니다.
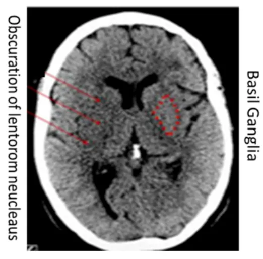
(1) Dense MCA sign
(해설) 말 그대로 Middle cerebral artery가 진하게 보인다는 뜻입니다. MCA의 근위부가 혈전으로 막힐 경우, 혈전이 차 있는 혈관은 정상 혈관에 비해 밀도가 높아 Density가 올라갑니다. 그러면 우측 사진의 화살표처럼 MCA가 밝게 보이게 됩니다. MCA infarction을 의심할 수 있는 sign입니다.
(2) Gray matter 와 wihte matter 경계가 불분명
(해설) 뇌경색의 비교적 초기에 나타날 수 있는 현상으로서, 경색이 발생한 부위에 Grey matter와 White matter의 경계가 모호해지는 것입니다.
우측 사진의 기저핵 (Basal ganglia)부위를 보면, 좌측 뇌에서는 백질과 회백질의 경계가 뚜렷하지만, 경색이 발생한 우츨에서는 그 경계가 모호해진 것을 볼 수 있습니다.
E5. Cerebral venous thrombosis
(해설) 뇌에는 우측 그림과 같이 Venous sinus라고 부르는 혈관조직이 있습니다. 드물지만 이 부분에 혈전이 생기는 경우를 Central venous thrombosis라고 합니다.
Enhance CT나 Angiography를 하지 않으면 Pre CT로는 진단이 어렵습니다.
(1) 증상
Headache, seizures, focal neurologic deficit, mental changes…
(2) “Empty delta sign”
(해설) 혈전이 Superior Sagittal sinus나 transverse sinus에 생길 경우 간혹 CT enhance 영상에서 어두운 삼각형 모양의 혈전이 sinus내에 보이는 경우가 있습니다.
• Triangular area of contrast enhancement
• Sup. Sagittal sinus, transverse sinus.
saggital sinus 내에 보이는 empty delta sign
E6. hydrocephalus
(1) Normal pressure hydrocephalus (NPH)
•
Ventricle확장이 있으나 CSF pressure는 정상
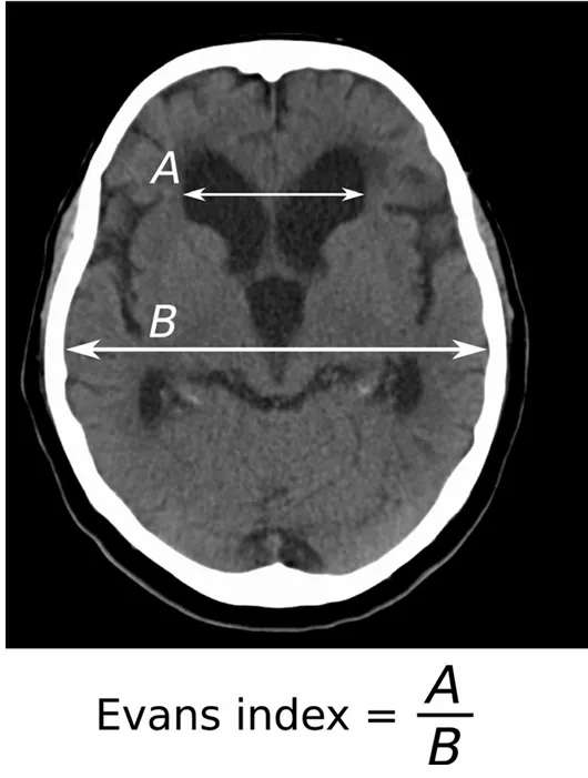
•
Evan’s index (A/B)
: NPH의 스크리닝 검사
A: frontal horns의 최대너비
B: 최대 두개내 너비
• 정상 : 0.2-0.25
• 0.3보다 큰 경우 뇌실 확장이 있다고 판단한다.
E7. Pneumocephalus
(해설) 뇌기종을 진단하기 위해서는 정상적으로 Skull 내에 공기가 차 있는 구역을 먼저 알고 있어야 하겠습니다. 예시로 보이는 사진은 매우 심한 경우이고, 실제로는 공기방울 하나 정도만 보이는 경우도 많으니, 각 컷마다 신중하게 관찰해야 합니다.
양이 적은 경우 자연흡수되는 경우가 대부분이나, 우측 사진처럼 매우 기종이 심한 경우, 긴장성 기흉처럼 뇌에도 Tension pneumocephalus라는 것이 생길 수 있습니다. 마치 가후지산 같이 가운데에 산봉우리 모양처럼 보인다 하여 “Peaking sing” 또는 “Fuji moutain sign”이라 하기도 합니다. 이 경우, 때에 따라 감압을 해 주는 처치가 필요할 수도 있습니다.
Fuji Mountain sign을 보이는 Tension pneumocephalus
F. 판독 실수를 줄이는 법
F1. 여러 조건의 window settings 세팅을 사용하라
•
Skull base and skull vault는 bone window 를 사용해서 관찰할 것
PACS에는 기본으로 Brain 의 회백질과 백질이 잘 구분되어 보이는 window 사진만 올라온다
판독자가 Bone window와 Subdural window 세팅으로 바꿔가면서 판독을 해야 한다.
각 세팅에서 봐야 할 것을 중점적으로 찾아봐야 한다
(해설) 아래 사례는 청력이상으로 검사한 환자의 예인데, Brain setting에서는 아무것도 보이지 않지만, bone setting에서는 양측의 중이염이 관찰되고 있다. 양쪽 eustachian tube가 막힌 것이 의심되어 nasopharynx에 뭔가 이상이 있을 것이라는 의심이 들어 Brain MR을 촬영했고, nasopahryngeal cancer가 발견되었다.
22/F hearing difficulty
F2. 찍은 사진의 처음부터 끝 사진까지 다 확인하라
(해설) 판독과정에서 Brain조직이 거의 포함되지 않는 처음 사진과 끝 사진은 제대로 안 보고 넘어가는 경우가 더러 있다. Brain CT이긴 하지만 Brain 외의 구조물도 CT에는 촬영되며, 이 구조물까지 포함해서 항상 마지막 사진까지 꼼꼼하게 확인하는 습관을 들여야 한다. 아래 사진의 사례를 확인하자
•
Bottom cut에서는 Foramen magnum, central skull base, C1, C2를 확인한다.
•
Top cut에서는 superior sagittal sinus/ skull vault를 확인한다.
이 사례에서는 foramen magnum 레벨에서 cisternal space가 보이지 않는다.
MRI를 촬영해 봤더니 Meningioma가 발견되었다.
두통환자의 CT마지막 컷 즈음에 우측 뇌에 출혈 비슷한 병변이 나타났고,
이어 촬영한 angio 사진에서 Cortical AV malformation이 발견되었다.
F3. 회백질과 백질 구분을 확인한다.
(해설) CT에서 회백질은 밝게, 백질은 어둡게 나타난다. 왜 용어와 CT가 반대로 나타나냐면 회백질은 실제 육안으로 봤을 때 어둡게, 백질은 밝에 보여서 그렇게 이름붙인 것이고, 실제로 회백질에는신경세포체가 밀집되어 있어 밀도가 높아 CT에서 밝게 보이는 것이다.
CPR후 ROSC된 환자이다. 언뜻 정상적으로 보이나, 잘 보면 회백질 부분이 오히려 더 어둡게 보이고 있다.
이는 저산소증에 의해 뇌 세포가 광범위하게 손상을 받았음을 의미한다.
ROSC 직후부터 이런 CT를 보인다면 소생가능성이 극히 낮다
F4. Sella로 들어가는 pituitary stalk 을 꼭 확인한다
만성 두통환자의 CT에서 pituitary gland 부위에 뭔가 mass 같은 병변이 보여 MRI를 촬영했더니 Tuber cinereum의 Harmatoma가 발견되었다.
F5. 다 보고 아무 lesion이 없는 것 같으면 혈관을 봐라 (MCA나, Superior saggital sinus같은)
갑자기 우측 상지 마비가 발생하고 의식이 떨어진 환자. superior saggital sinus가 HU 80정도로 밝게 보인다. angio에서 이 병변은 thrombus로 확인되었다.
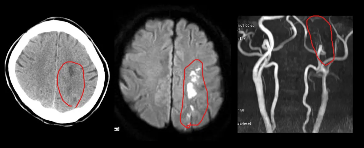
F6. centrum semiovale 한쪽에만 병변이 있으면 동측의 ICA or MCA occlusion 에 의한 이차적 변화 가능성을 의심하라.
Centrum semiovale는 대뇌 피질 아래에 위치한 백질의 중심 영역을 뜻한다. 이 부위는 신경 섬유 다발로 이루어져 있으며, 뇌 기능에 중요한 역할을 한다. 이 부위의 병변은 뇌경색 등 다양한 뇌 질환과 관련이 있을 수 있다. 예를 들어, 혈관 문제로 인해 뇌경색이 발생할 경우 주로 이 부위에서 병변이 관찰될 수 있다.
증상이 경미하거나 없다면 과거의 lacunar infarction으로 간주해버릴 위험이 있다.
우측 centrum semiovale에 hypodense한 병변이 보이며, MRI에서 Rt MCA stenosis 가 관찰되었다.
좌측 centrum semiovale에 infarction이 보인다. MRI에서 동측의 ICA occlusion 이 발견되었다.


















































