감별 포인트
Ⅰ. Incubation period
Ⅱ. 매개경로
Ⅲ. Physical Findings
Ⅳ. 동반증상
(Fever, Hemorrhage, CNS, Chronic fever, Abdominal, Urinary, Diarrhea,
Eye or Skin, Pulmonary, Parasite)
Ⅰ. Incubation period
1.
잠복기 3주 이상이면 다음 질환들은 가능성 거의 없다.
→ Yellow fever, Dengue fever, Viral hemorrhagic fevers (Ebola)
2.
반면, Schistosomiasis 는 잠복기 길다.
3.
Immunization hx도 질환을 rule out 하는데 중요한 정보를 제공한다.
(ex. HAV, HBV, yellow fever)
4.
Table 162-2 눈에 익히고, 헷갈리는 질환들이
(1) 잠복기 <3주 : Leptospirosis, Typhoid, Typhus, Dengue, Yellow, Meningococcal
(2) 잠복기 >3주 : Hepatitis, HIV, Liver abscess, Tb, Syphilis, Filariasis (기생충)
이름 어려운 질환들 (Schistosomiasis, Leishmaniasis, Trypanosomiasis)
Ⅱ. 매개경로
Ⅲ. Physical Findings
Ⅳ. 동반증상
1.
열과 관련된 질환
(1) Malaria (M/C) - Chap. 159 참고
① Triad : Fever, Splenomegaly, Thrombocytopenia
② 열은 첫 주는 불규칙, 이후는 주기적 (2~3일에 한 번씩)
③ 한국은 P.vivax가 흔함
④ 증상 : Fever, headache, GI sx, cough 등 비특이적인 증상
→ 해외여행력이 있는 원인 미상의 발열 환자들은 말라리아를 고려
⑤ 진단 : 임상증상 (원인 모르는 38.5℃ 이상 fever + 유행지역 여행력)
•
Bloodborne protozoa (Blood smear 혹은 Rapid antigen detection test 시행)
(2) Dengue fever
① 여행 후 2주 이내 fever 발생 (잠복기 4~7일)
② Vector : Aedes aegypti mosquito (이것은 Yellow fever와 같다)
③ 증상 : 고열, 두통, 오심, 구토, 몸살, 얼굴홍조, 결막충혈, 후안와통증, 점상출혈
몸통 및 사지, 얼굴의 rash, Hemorrhagic petechiae 발생 가능 (meningococcemia와 비슷)
④ 진단 : 임상증상 + Serology (flaviviruses cross-reactivity)
Lab → Leukopenia, Thrombocytopenia, Hepatic dysfunction
⑤ 치료 : 보존적 치료, Acetaminophen만 권유
(NSAID or Asprin 은 anticoagulant properties 때문에 금기)
(3) Typhoid fever
① 원인 : Salmonella typhi, S.paratyphi
② 10일 이상 고열에서 말라리아 배제 시 가장 흔한 원인
③ 전파 : 분변 또는 소변으로 오염된 음식
④ 임상양상 : 열, 두통, 기침, 복부팽만, 몸살, 변비로 시작
Relative bradycardia, pale red macular rash on trunk (rose spots)
⑤ 합병증 : Small bowel ulceration, Anemia, DIC, Pneumonia, Meningitis, Myocarditis,
Renal failure, Deafness, 10%에서 psychosis, Ataxia, Seizures
⑥ 진단 : 임상증상
•
blood, urine, stool culture or rapid antigen test or bone marrow culture
(most sensitive)
⑦ 치료 : Ciprofloxacin, Cephalosporin (Cefixime, Ceftriaxone), or Azithromycin
South or Southeast asia에서 감염이 의심되는 경우 Carbapenem 사용
(항생제 내성확률 높으므로)
Typhoid meningitis 의심되면
→ Dexamethasone (3mg/kg 30min loading 후 1mg/kg 6시간마다 8번)
⑧ 치명율 : 치료 안 하면 10~15%
(4) Rickettsial Spotted Fevers
① 원인 : Arthropod ticks의 bite, body fluid, feces
② Scrub typhus
: 양상 - 3~14일 잠복기, 열, 심한 두통, 무력감, 몸살, 발진, 오심, 구토 발생.
: 물린 부위 papule (eschar)
: 진단 - 임상양상 + serologic test
: 치료 - Doxycycline, 100 milligrams PO twice daily for 7 to 10 days
Alternatives - Azithromycin or Chloramphenicol
(
(5) Typhus
① 원인 : Rickettsial prowazakii → Louse(이) 매개 리케차 질환
Typhoid fever (bacterial disease) 와 다른질환
② 전파 : 추운 날씨, 기근, 전쟁, 인구이동 (Louse, Lice가 자라야 되기 때문)
③ 증상 : 고열, 심한 두통, Maculopapular rash (손, 발바닥에)
④ 진단 : 임상증상 + Serologic test
⑤ 치료 : Doxycycline 100mg PO Bid or Chloramphenicol 60~75mg/kg/d PO 7days
⑥ 치명율 : 치료 안 하면 60%
(6) Leptospirosis (=Weil's disease)
① 원인 : Leptospira interrogans에 오염된 담수에 노출, 혹은 물에 젖은 rodent 접촉 감염
② 양상
: 2~20일의 잠복기 후 심한 두통, 고열, hepatitis, 비화농성의 결막충혈
: 4~7일간 증상 후 증상 사라졌다가 4주 후 다시 증상 (수막염, 신부전, 포도막염 등)
③ 진단
: 혈액 or CSF에서 leptospires 검출 → 첫 주에 50% 민감도
: 소변에서 검출 → 2주째 30% 민감도
: Serologic test → confirm
④ 치료
: 경증 시 Amocillin 500mg 하루 4회 PO or Doxycycline 100mg Bid x 3days
: 중증 시 Penicillin IV 500만단위 /6h, Ceftriaxone 1gm or Ampicillin 1gm 1~2주
(7) Zika virus
① 원인 : Aedes msquito, 성관계, 수유, 수혈 등을 통해 전파 가능
② 양상 : 결막염, 고열, 관절통 등, 임산부에서 태아의 기형(severe microcephaly) 유발 가능
③ 치료
: Supportive treatment
: Zika virus risk 국가에서 귀국한 남성들은 2달간 성관계 자제 필요
(8) Relapsing fever
원인 : Lice or ① Tick bite (borrelia recurrentis)
② 양상 : 고열, 두통, 복통, 심할 시 뇌수막염, 심근염, 간부전, DIC
③ 치료 : A single PO 500mg tetracycline, 200mg doxycycline, or 1g of erythromycin
2. Fever and hemorrheage 동반된 질환 - 음압격리, 전염 가능성/의심되면 전염병신고
(1) Neisseria meningitidis (m/c)
(2) Viral hemorrhagic fever의 경우는 대개 3주 이내 발병한다.
(3) Crimean-Congo hemorrhagic fever : 농부, Tick 매개, 치료 Ribavirin
(4) Yellow fever
① Zoonotic flavivirus 질환, 정글원숭이 보균자, A.aegypti 모기물려 감염
② Triad : Jaundice, Black emesis, and Albuminuria
③ 치료 : 보존적 치료
(5) Lassa fever : 들쥐 접촉 감염, 잠복기 3-16일, 치료 Ribavirin
(6) Ebola : 박쥐 매개, 잠복기 2-21일, 보존적 치료
3.
CNS 침범하는 열질환
(1) 일본뇌염
① flavivirus infection (Culex mosquito)
② 5~15일 후 고열, 두통, 목덜미 강직, 구토, seizure
③ 치료는 보존적 치료
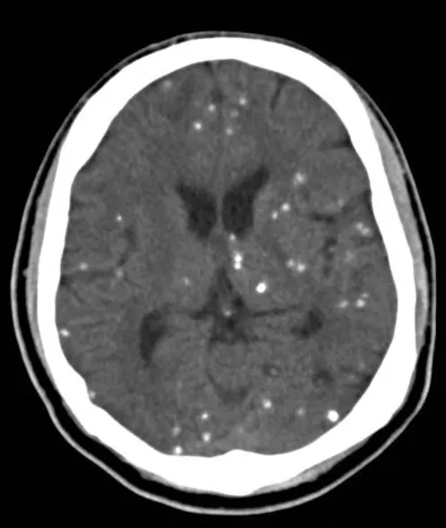
(2) Cysticercosis
① Larval form of pork tape worm, Taenia solium
② 모든 tissue에서 발견되며 CNS 침범 시 neurocysticercosis라 한다.
③ 양상 : 1st seizure, obstructive hydrocephalus, stroke, headache, mental change
④ 진단 : Noncontrast CT (calcification, hydrocephalus 확인 가능)
⑤ 치료 : Praziquantel 50mg/kg/d PO 15일간 or albendazole
Steroid (뇌염,수막염,혈관염 피하기 위해)
•
Cysticercosis의 특징적인 brain CT finding(multiple calcification)
4.
Chronic fever 관련 질환
(1) Human African Trypanosomiasis (Sleeping Sickness, 수면병) : vector tsetse fly
(2) American Trypanosomiasis (Chagas' disease) : vector 'kissing bug'
(3) Leishmaniasis : 치료 → Amphotericin B, Pentavalent antimonials, or Miltefosine
5.
Abdominal and urinary complaints 관련 질환
(1) Schistosomiasis = Snail fever : freshwater, snail, 치료 Praziquantel
(2) Clonorchiasis (간흡충증)
① Clonorchis sinensis에 의해 유발되는 담도 질환
② 완전히 조리되지 않은 민물 생선에 있는 유충을 섭취, 동남아 지역이 endemic area
③ 한번 먹으면 성충이 담관으로 이동하여 30년 이상 기생 가능함
④ Anorexia, diarrhea, bile duct obstruction, liver tenderness, jaundice, biliary cirrhosis,
cholangiocarcinoma로 진행 가능
⑤ 진단 : 대변이나 duodenal aspirate에서 충란을 검출, eosinophilia가 흔함
⑥ 치료 : Praziquantel 25mg/kg PO tid for 3 doses
6. Abdominal pain and diarrhea 동반질환
(1) Amebiasis
① Entamoeba histalytica 등. 장기간 여행자에 흔함.
② 잠복기 : 보통 colitis는 1~3주, but liver abscess의 경우 수개월 후 발생 가능
③ 임상양상 : 변비와 설사를 1~3주 반복, 열, 우상복통, 체중감소
④ 진단 : Stool ova & Parasite → Motile trophozoites or cyst
⑤ 치료
: 무증상 → Iodoquinol 650mg PO Tid 20일,
Paromomycin 500mg PO Tid 7일 or Diloxanide furoate 500mg PO Tid 10일
: 유증상 → Metronidazole 500~700mg PO Tid 5~10일 or Tinidazole
(2) Giardiasis
① 임상양상 : Common cause of chronic traveler’s diarrhea, 잠복기 1주 이상
② 치료 : Metronidazole, Tinidazole, Quinacrine, Nitazoxanide
(3) Cholera
① Bacterium Vibrio cholerae 원인
② 전파 : Fecal contamination of water or food
③ 잠복기 : 2~3일, cholera toxin에 의한 sodium pump inbition으로 증상 유발
④ 임상양상 : 중증의 특징 → 풍부한, 통증 없는 rice water stools, 심한 탈수, 구토,
다리 경련, 간헐적 열, rapid fluid loss (하루 15L 이상)
⑤ 진단: Rectal swab or Stool culture → Confirm
⑥ 치료
: 공격적인 수액요법 및 대사성산증 및 hypokalemia 교정
: Doxycycline (TOC), 산모/소아는 Azithromycin or Erythromycin
7.
기생충 감염
•
Empirical treatment : Albendazole 400mg BID 3일간
(1) Ascariasis (Roundworm)
① Ascaris lumbricoides (회충)
: 습한 토양에서 몇 년 동안 생존, fecal–oral or through poorly cooked food 통해 전파
② 증상 : 보통 minimal 식도와 장에서 폐로 이동 → Dry cough or pneumonia 발생 가능
③ 큰 벌레는 영양 실조와 전신 쇄약 가능, 벌레의 mass에 의해 장폐쇄가 발생할 수 있다.
④ 치료 : Mebendazole, Albendazole, Ivermectin
⑤ 진단 : Stool examination, serology
(2) Enterobiasis (Pinworm, Seatworm)
① Enteribiasis vermicularis (요충) : Fecal-oral 전파, 장난감, 식기, 침구로 전파 가능
② 항문주위 가려움 특징
(3) 그 이외 종류로 Trichuris (Whipworm), Hookworm, Cestode (Tapeworm) 등이 있다.
8.
Eye or Skin complaints 관련 질환 (9판에 추가된 내용)
(
(1) 가장 흔한 원인은 insect bites or cutaneous larva migrans (parasite에 의한 것),
allergic reaction이다
(2) Onchocerciasis
① 원인 : female black fly가 옮김
② 임상양상
: Skin pigmentation, Pruritis, Skin nodules 발생, Visual defect, Blindness 유발 가능
③ 진단 : Slit lamp examination(눈)
④ 치료 : Ivermectin
(3) Loa loa (eyeworm)
① 원인 : Chrysops fly bite
② 임상양상 : Itching, Painful swelling around face, Eyelid
③ 진단 : Clinical presentation, Eosinophilia
④ 치료 : Diethyl-carbamazine citrate
(4) Cutaneous larva migrans
① 개, 고양이의 분변에 포함된 parasite (Ancylostma braziliense)에 skin이 노출되면서 감염
② 사람을 숙주로 성장할 수는 없으나 피부에서 움직이면서 irritation, itching sense 유발함.
③ 치료 : Albendazole or Ivermectin
(5) Cutaneous Leishmaniasis
① Sandflies에 의한 감염,
② 임상양상 : Chronic skin ulceration 유발
③ 진단 : Tissue Bx
④ 치료 : Amphotericin B
(6) Lymphatic Filariasis
① 원인 : Nematodes(Wuchereria, Brugia 등)에 의한 감염, 파리, 모기 등으로 전파
② 임상양상
: 잠복기 6개월~5년, Lymhpangitis 동반한 2~3주 지속되는 발열이 특징,
: Elephantiasis 유발 가능, nocturnal asthma(d/t pulmonary eosinophilia) 유발
③ 진단 : Nocturnal PBS (밤에 bloodstream 통해 이동하므로)
④ 치료 : Diethylcarbamazine citrate
9.
Pulmonary complaints 관련 질환
•
응급실에서는 환자 격리
(1) Severe acute respiratory syndrome (SARS)
① 2003년부터 국제적인 위협으로..
② 원인 : Coronavirus, droplet infection으로 간주
③ 진단 : PCR or serologic test or viral culture
④ 위험지역 다녀온 이는 최소 10일간의 관찰 요함.
(2) Tuberculosis
① Mycobacterium tuberculosis
② ED에서 초기처치 : 격리, Tuberculin skin test, Sputum culture, Chest radiography
(3) MERS
① 확실하게 밝혀지지는 않았으나 droplet infection으로 추정됨
② 정확한 transmission 경로는 알려지지 않았음.
③ PCR 검사로 진단함.






